아하

의료상담

내과

공정한조롱이298
공정한조롱이298

폐렴 엑스레이 변화 궁금합니다...

성별
여성
나이대
60
기저질환
고혈압
복용중인 약
혈압약

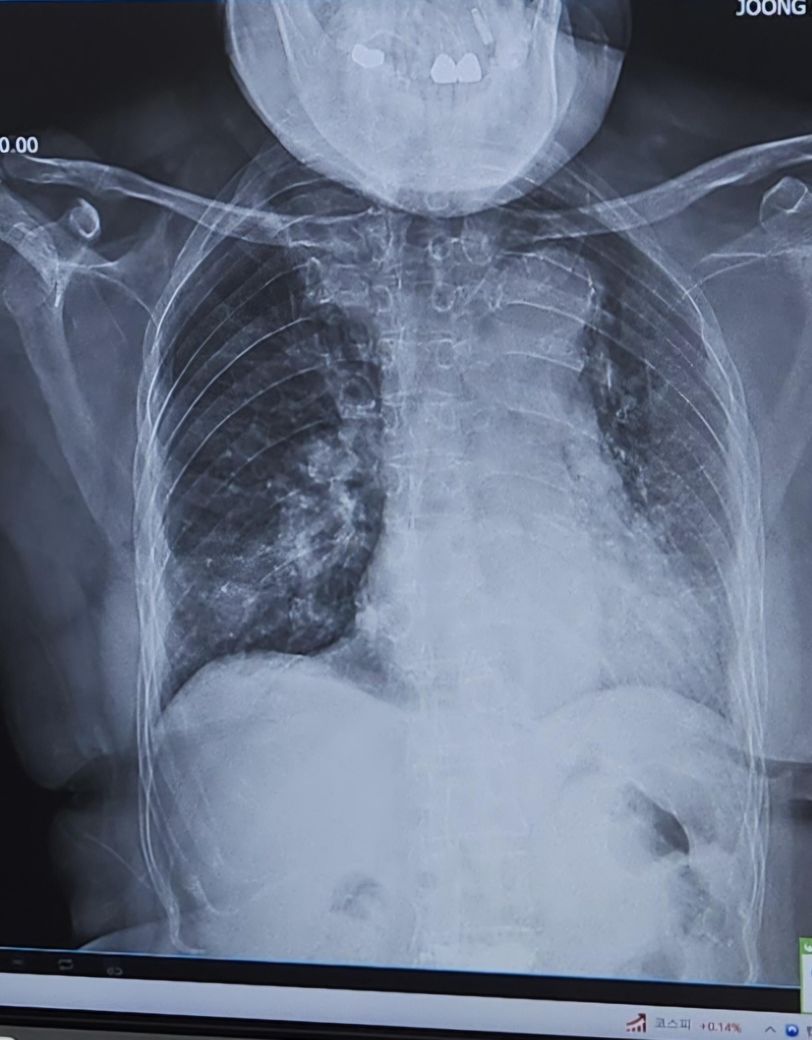
각각 다른 병원에서 찍은 엑스레이 사진인데

위에꺼가 일주일전 아래가 일주일후입니다.

일주일전 사진에는 뭉쳐져있는것들이 있는데

아래는 풀어져서 퍼진것처럼 보여서요.

다른 병원에서 찍어서. 비교가안되어 여쭤봅니다

위에사진의 뭉덩이진것이 아래사진에서 풀어진것이라면. 호전되고있는건지 궁금합니다

  • 1번 째 사진
  • 2번 째 사진
2개의 답변이 있어요!
  • 안녕하세요. 김수비 의사입니다.

    딱히 호전되었다고는 보이지 않습니다.

    폐렴의 정확한 상태는 단순히 엑스레이로는 판단 불가합니다

    임상적 맥락을 모두 봐야 하기 때문에 혈액검사 결과는 물론 증상의 호전도까지 모두 총체적으로 평가해야 가능합니다

    담당 의사와 상의 하셔야 정확해요

    1명 평가
  • 사진의 질이 달라서 판단하기 다소 애매한 부분이긴 하겠습니다만, 위의 사진이 초기의 사진이고 아래쪽 사진이 이후에 찍은 사진이라면 폐렴이 더 심해졌다고 볼 수 있겠습니다. 범위가 더 넓어졌고 뿌옇게 변한 부분이 더 많아졌습니다. 호전이 되고 있는 사진이라고 보기는 어렵습니다.