의료상담

사랑니 발치했는데 잘 낫고있는건가요

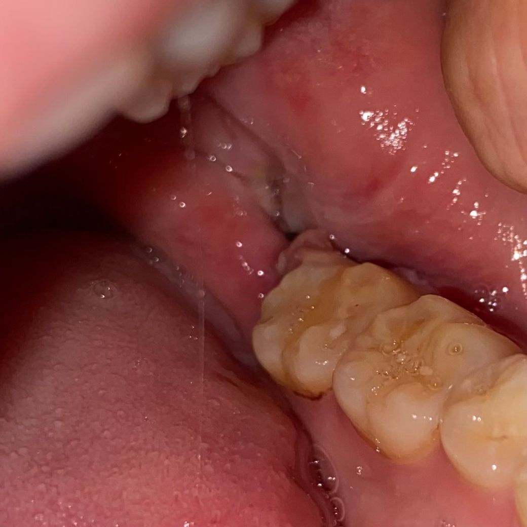
지난주 토요일에 발치했고 마지막 사진이 현재입니다 잘 낫고있는지 궁금해요... 어제 소독은 받았습니다. 근데 꼬맨 부분이 좀 땡기는데 이것도 맞나요

  • 1번 째 사진
  • 2번 째 사진
  • 3번 째 사진

2개의 답변이 있어요!

  • 안녕하세요. 최석민 치과의사입니다.

    치유는 정상적으로 이뤄지고 있고 소독시 별말 없었으면 괜찮은겁니다 좀 땡기는 느낌은 치유과정 중 있을 수 있습니다

    채택 보상으로 152베리 받았어요.

    채택된 답변
  • 안녕하세요. 류동균 치과의사입니다.

    사진 시야각이 명확하지 않으나 발치한 곳에서 염증성 삼출물이나 농루는 보이지 않는 것 같습니다.

    만약 치유에 이상이 있다면 어제 소독할 때 적절한 조치가 이루어졌을 것입니다.

    너무 걱정하실 필요 없고 해당 부분 조심스럽게 위생 관리 해주시면 되겠습니다.