강아지.. 일반옷입힐때 목부분 옷때문에 잠깐접히고나서 귀를 심하게 터는데 이유가 무엇일까요?

강아지 귀질환 중에.. 옷입히고나서 귀를 바닥에 대고 비비거나, 귀에 통증을 호소하면서 비틀비틀 잠깐 걷는 경우 이런 경우 대체 뭘까요?
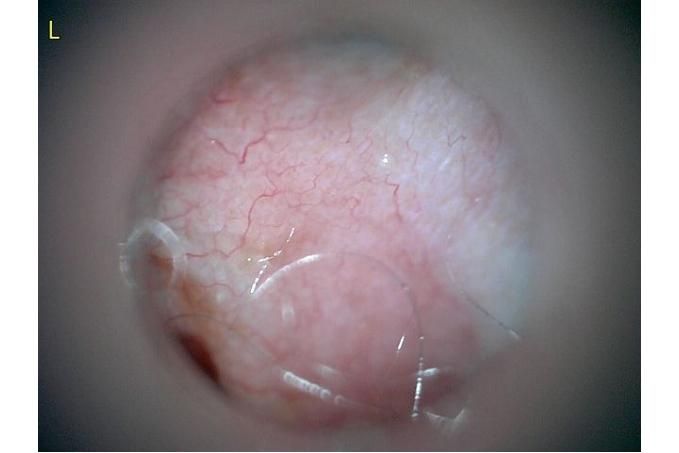
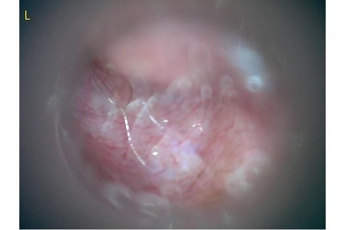
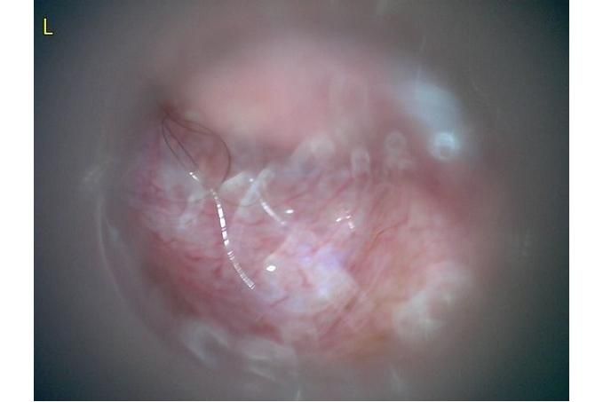
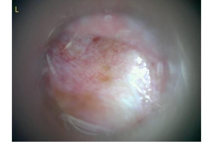
오늘 낮과 방금 5분전에 일어난 일인데요.. 강아지 귀질환 중에.. 옷입히고나서 귀를 바닥에 대고 비비거나, 귀에 통증을 호소하면서 잠깐 비틀비틀 걷는 경우 이런 경우 대체 뭘까요? 외이염일때도 이럴수도 있을까요? 아니면 중이염 내이염일지.. 한 2~3분정도 통증을 호소하다 지금은 또 정상이 됬는데 옷입을때만 옷의 목카라 부분이 귀에 닿을때 문제가 되는 느낌입니다. 평상시엔 가끔 양쪽 귀를 긁거나 귀를 자주 터는 정도입니다. 특이사항은 오른쪽귀 솜 돌돌 말아 귀안에 넣어줘도 비명을 지르며 엄청 아파하는데(작년11월경) 왼쪽은 안아파합니다)

병원 3곳을 다니고 있는데도 원인도 모르고 고치진 못하고 정신병 걸릴거같습니다.
그리고 용종이라고 코멘트 달아주셔서 저 검이경 사진 찍은곳에 물어보니 용종은 아니라고합니다.

쿠싱 부신종양 4.3 kg 12살 양측 부신 1.3cm
그냥 아무것도 안하고 이대로 방치하다간 사단 날거같아서 쿠싱부신종양 있으니 이소틱 생각중인데 써도 될지 모르겠습니다
mri ct 말고는 죽어도 중이염 내이염 또는 고막 확인이 불가능한가요?
병원 총 3곳을 다녀도 뭐 어떻게 하라는 지침이 없어서 손가락만 빨고있다간 사단날거같아서 이소틱이라도 해볼 생각인데 어떻게 생각하시는지요
저 부분 용종 아니라합니다

귀는 점점점 악화되가는 느낌인데 귀세정도 아무것도 하지말라하니 진짜 미쳐버리겠습니다.


제가 가장 알고싶은점은. 저렇게 옷깃에 귀가 시쳐도 아파할정도면 이게 외이염일까요 중이염일까요 내이염일까요? 얼마나 아픈지 옷한번 얇은 내복 평상시 입던거 입히면 입히고 나서 바로 온집을 돌아다니면서 바닥에 귀를 대고 정신나간애처럼 비비고 비틀비틀 걷습니다 그러다가 2~3분후 다시 정상으로 돌아옵니다
(근데 또 귀를 조물락 조물락 만져도 안아파합니다, 다만 솜을 길게 해서 넣으면 솜만 넣어도 아파합니다 특히 오른쪽요 왼쪽은 안아파합니다)
그리고 이 경우 이소틱을 써도 될지 아니면 안될지 안된다면 어떤걸 시도해볼수있을지가 가장 궁금합니다.

제발 다른 병원에 가란말만 하지말아주세요 부탁드립니다. 현재 3곳을 다녔습니다 더 다른곳에 가란말 하지말아주세요 진짜 정신병걸립니다

아직 답변이 없어요.