아하
  • 토픽

  • 스파링

  • 잉크

  • 미션


의료상담

한결같은앵무새172

한결같은앵무새172

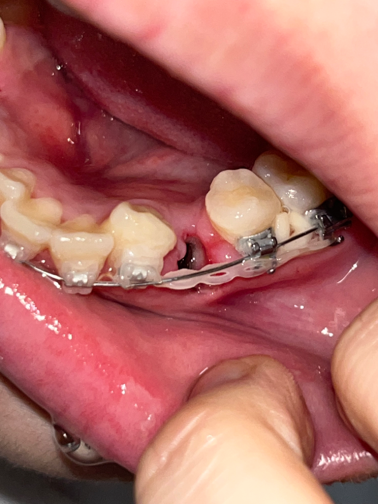
드라이소켓 관리 어떻게 하나요ㅠㅠ??





어제부터 너무 역한맛이나고 냄새가 났는데요 병원가니까 드라이소캣이라고 합니다 멸균생리식염수로 함수하고 있는데 하루에 몇번하면 되나요? 진짜 너무 아파요 ㅠㅠㅠ 다시태어나고 싶어요ㅠㅠㅠㅠㅠ 상악치아도 파여있긴한데 통증 냄새는 없어요 하악 치아만 그러는데 교정때문에 그런가요?? 발치하고 바로 고무줄 꼈어요

  • 1번 째 사진
  • 2번 째 사진

3개의 답변이 있어요!

  • 김철진 치과의사

    김철진 치과의사

    가까운우리치과

    안녕하세요. 김철진 치과의사입니다.

    드라이 소켓은 감염의 일종입니다. 일단 진통제를 드시면서 관리를 하시고 소독은 한두번만하시면됩니다.

  • 안녕하세요. 안상우 치과의사입니다.

    드라이 소켓은 발치한 후에 혈병이 제거되어 잇몸 뼈가 구강 내로 드러나게 되면서 생기게 되는 증상입니다 드라이 소켓으로 생긴 통증은 없애는 방법이 많지 않으며 대부분 시간이 지나면서 점차 줄어들게 됩니다 보통 한 달 정도 걸리게 됩니다.

    많이 불편하다면 타이레놀과 같은 간단한 진통제로 통증을 줄이는 것이 좋습니다 해당 부위를 더 이상 자극하지 말고 내부를 깨끗하게 청소하기 위해서 헤집지 않는 것이 좋습니다.

  • 안녕하세요. 최석민 치과의사입니다.

    드라이소켓은 발치 부위 감염으로 인한 증상입니다 치과에서 세척, 강한 진통제 및 항생제처방, 유지놀 거즈 삽입 통한 통증 관리 등의 방법으로 대처합니다