의료상담
앞니쪽 반대교합 부분교정과 교합질문이 있습니다
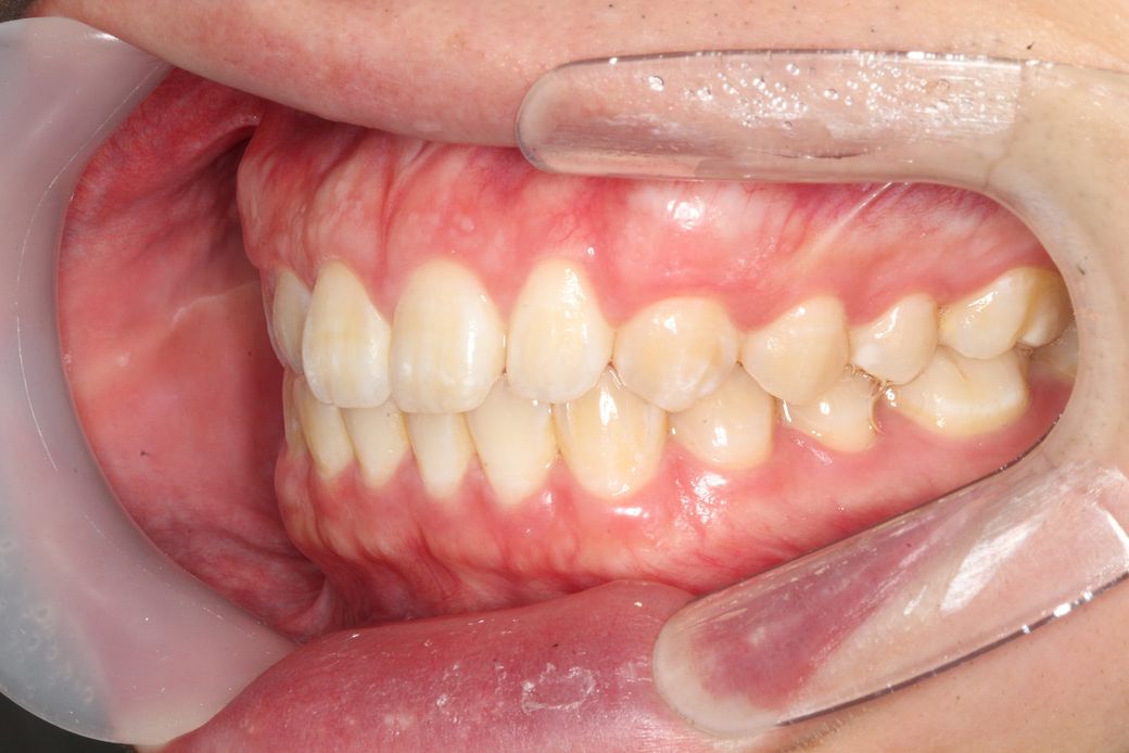
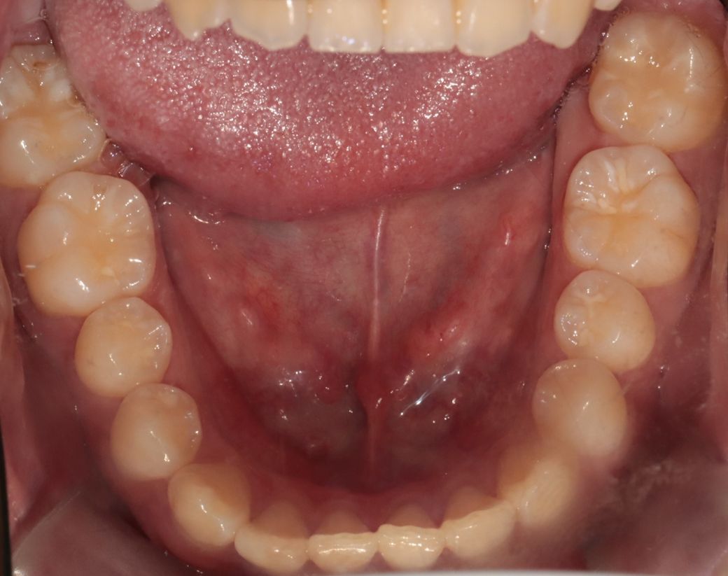
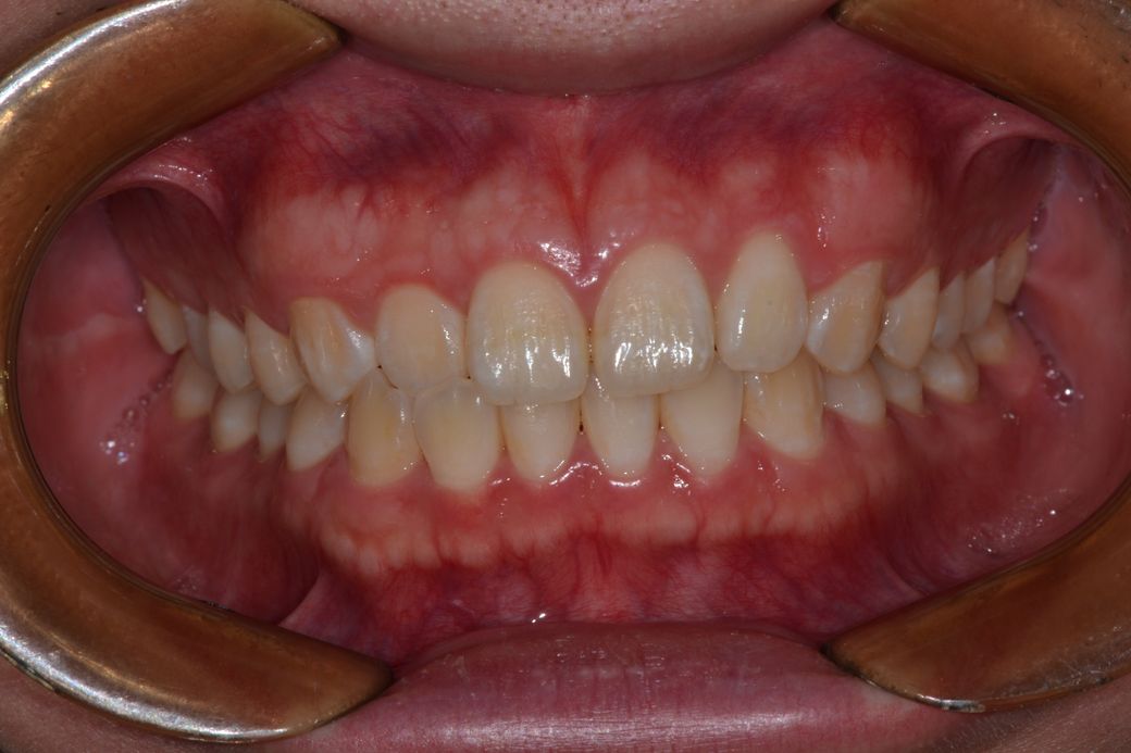
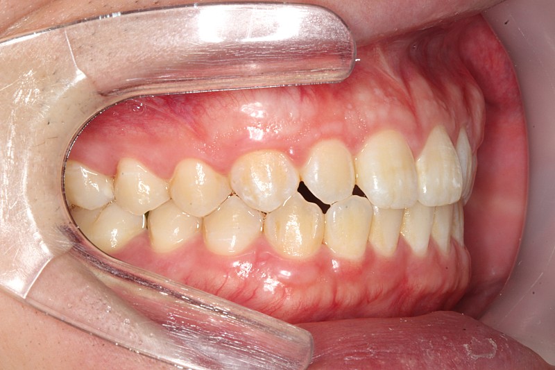
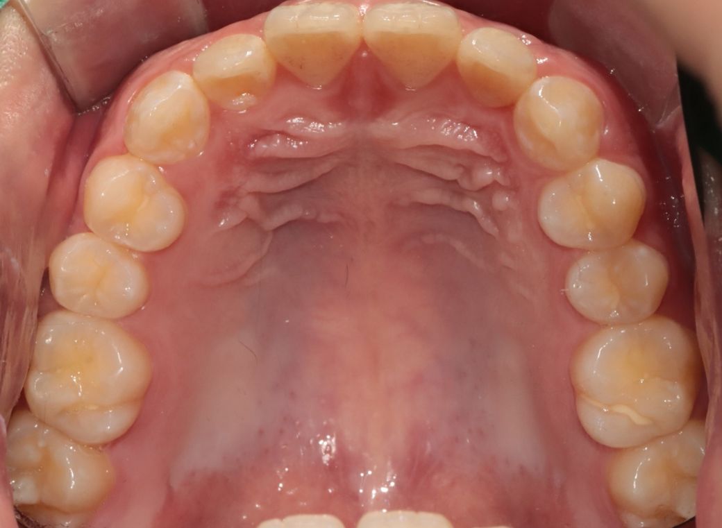
치아 앞니쪽에 반대교합이 있어서 분분교정할 생각인데 부분교정으로 치료가능해 보일까요?
앞니빼고 나머지는 괜찮아 보일까요?
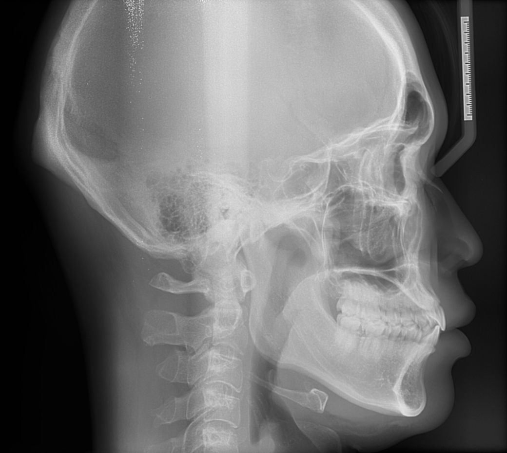
윗니가 아랫니를 덮는 양또는 윗니가 앞으로 나온양이조금 적다고는 하는데 골격적 문제라 어쩔 수 없다는데 맞나요?
55글자 더 채워주세요.
2개의 답변이 있어요!
안녕하세요. 정진석 치과의사입니다.
부분 교정으로도 어려워 보이며 전체 교정도 현재 증상을 개선하기가 쉽지 않아 보입니다. 워낙 다른 부위에 치열 상태는 나쁘지 않기 때문에 교정을 하더라도 현재 증상에 대한 개선이 어려울 수도 있어 보입니다. 또한 치열 배열 뿐만 아니라 골격적 문제가 동반되고 있어 골격적인 부분은 교정으로 수정할 수가 없습니다.
지금 정도의 골격적 부조화는 일반인들은 알아차리지 못하며 양악 등을 수술을 권하는 정도도 아닙니다.
아무쪼록 저의 답변이 문제 해결에 작게 나마 도움이 될 수 있기를 기원드립니다. 항상 건강하고, 행복하세요^^
정진석 치과의사 드림
안녕하세요. 김철진 치과의사/경제·금융전문가입니다.
사진상으로 보면 크게 문제가 있어보이지는 않습니다. 하지만, 기능상으로 문제가 있다면 교정을 하시거나 심미적개선을 원하신다면 교정을 하시면될것같아요.

