의료상담

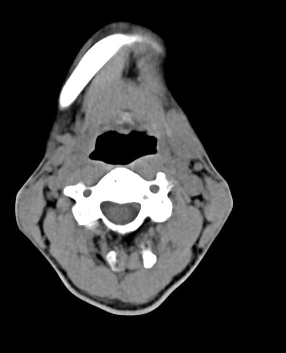
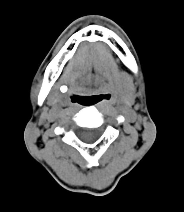
타석증으로 인한 침샘위축과 염증(턱,뺨저릿,귀간지러움 증상)

성별

남성

나이대

39

기저질환

없음

복용중인 약

부신피질호르몬제

오랜기간 오른쪽 턱밑 타석증으로 인해 침샘이 많이 위축됐따고 합니다

그래서 타석증 수술한지 2주정도됐는데요..

타석증 제거 하기전 증상이 턱,뺨이 마취된것마냥 얼얼고 귓속통증 , 귀 이갑개 간지러움.,

그리고 이제 오른쪽 머리부분까지 마취된 느낌 저릿한 증상이 생기다 사라집니다

이게 꼭 식전에 침이 막 분비되려고 할때 아침 점심 저녁에 한번씩 그러네요

그리고 식후에는 침샘쪽 통증과 귀통증이 생기면서 귀 이갑개쪽이 간지럽습니다

2차병원 이비인후과 교수 말로는 타석증으로 인한 침샘염때문에 경동맥 쪽이 부을순 있는데

턱뺨, 귀간지러운건 자기가 봐온 타석증 환자들 케이스에서 처음이라고 그러네요

확실한건 아침에 일어나서 침샘쪽이 싸해지면서 턱뺨이 서서히 얼얼해지거나 물마실때도 침이 막 나올려고 하면서 턱뺨이 서서히 얼얼한 증상이 생깁니다 .. 미친듯이 턱밑 침샘 마사지 해주면 좀 괜찮아집니다

타석증 수술후 몇달까지 지켜봐야할까요.. 우선 1주치 항생제 처방받은건 다 먹었고

이제 2주치 부신피질 호르몬제(소론도정)를 처방받았습니다

저랑 같은 증상이 있는사람이 있나 지식인 검색해보니.. 2분 계시더라구요.. 귀간지러움 턱얼얼함 증상이 있으시더군요;

계속 이 증상이 있으면 위축된 침샘염증이 원인으로 봐야되는건가요? 침샘제거를 해야되는건지요

타석증 수술후 침은 전보다 잘나오는것같습니다 2차병원 이비인후과 교수 말로는 30퍼정도는 기능하는것 같다고 하네요..

  • 1번 째 사진
  • 2번 째 사진
  • 3번 째 사진

아직 답변이 없어요.