아하
  • 토픽

  • 스파링

  • 잉크

  • 미션


의료상담

비상하는 올빼미862

비상하는 올빼미862

22.03.16

제 옆모습을 가끔 보면 턱이랑 입이 나온것같아보이는데 전문의가 평가하기에도 그런지 알고싶어요

질문1. 제 옆모습을 가끔 보면 턱이랑 입이 나온것같아보이는데 전문의가 평가하기에도 그런지 알고싶어요

가끔 사진찍히거나 거울볼때 옆모습이 입이랑 턱이 남들보다 나온것같다는 생각이들거든요 이런게 주걱턱인가? 이게 치과에 문의하는게 맞는지 모르겠지만 전문의님 개인평가를 듣고싶어요~ 나중에 구강악쪽 양악수술 상담한번 받아보려고요

질문2. 만약 입만 넣는다면 발치없이 인비절라인 같은 투명교정으로도 가능할까요?

질문3. 제 앞니 치근이 짧나요?

  • 1번 째 사진
  • 2번 째 사진
  • 3번 째 사진
  • 4번 째 사진
  • 5번 째 사진

5개의 답변이 있어요!

  • 김바른 치과 전문의

    김바른 치과 전문의

    22.03.17

    안녕하세요. 김바른 치과의사입니다.

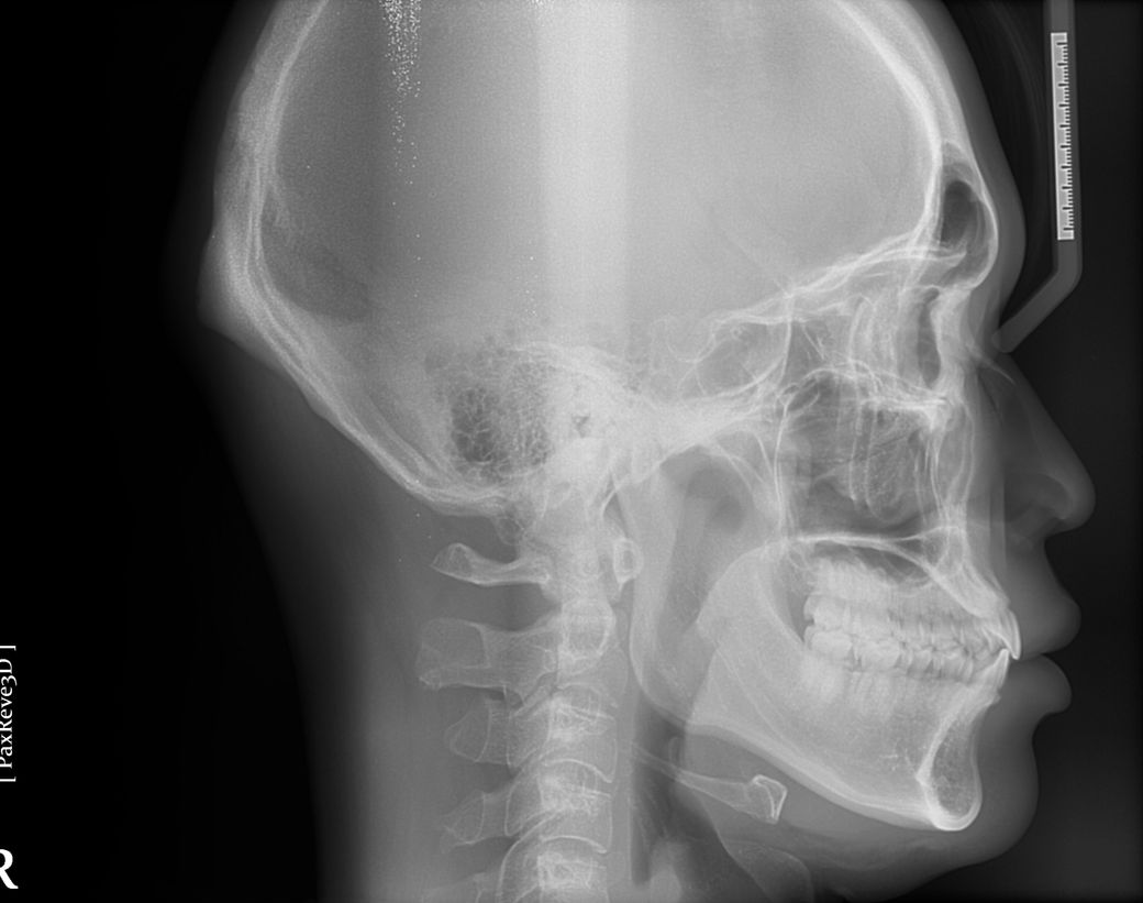
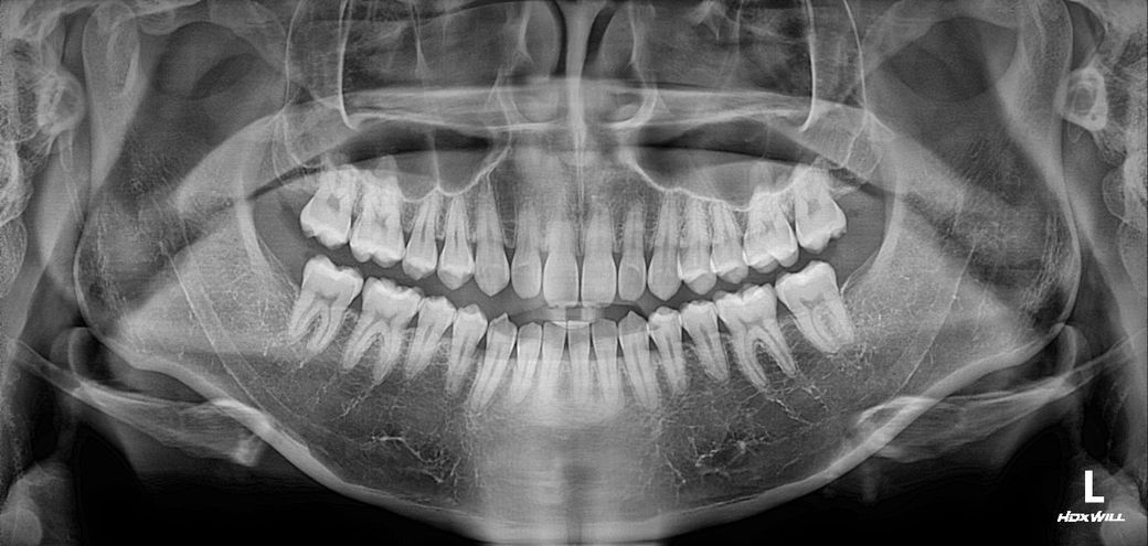
    앞니 치근은 짧은편으로 보입니다.

    하악골이 살짝 전방돌출되어있는 양상이나 치아의 교합이 좋은 상황이므로 교정이나 수술적 처치가 반드시 필요한지 의문입니다.

    본인의 심미적 관점에 따라 수술이나 교정 여부를 결정하시는게 좋아보입니다.

    본인의 의지가 없이 단지 타인의 의견에 의존하여 결정하게 되면 수술이든 교정이든 결과에 만족하지 못하고 후회하는 경우가 많습니다.

  • 안녕하세요. 정진석 치과의사입니다.

    1. 골격적으로 3급으로 보여집니다. 즉 하악이 발달한 상태이며 따라서 안모적으로 입이나 턱이 나와 보일 수 있습니다.

    2. 이미 치아 배열이 고르기 때문에 인비절라인 및 비발치 교정을 할 필요가 없으며 한다 하더라도 현재 말씀하시는 안모적 부분을 개선할 수 없습니다. 골격 자체가 하악이 상악보다 큰 케이스이므로 결국 하악을 절제하는 양악수술을 해야 아래턱 크기를 줄일 수 있고 안모 개선을 할 수 있습니다.

    3. 정상범위에 속합니다.

    아무쪼록 저의 답변이 문제 해결에 작게 나마 도움이 될 수 있기를 기원드립니다. 항상 건강하고, 행복하세요^^

    정진석 치과의사 드림

  • 안녕하세요. 김철진 치과의사/경제·금융전문가입니다.

    질문1. 제 옆모습을 가끔 보면 턱이랑 입이 나온것같아보이는데 전문의가 평가하기에도 그런지 알고싶어요

    -입이 튀어나온건 아니신거 같고 턱이 약간 나온거 같습니다

    질문2. 만약 입만 넣는다면 발치없이 인비절라인 같은 투명교정으로도 가능할까요?

    -인비절라인은 치열을 바르게 하는데 목적이 큽니다. 아래턱이 들어가는 효과는 미미할꺼 같습니다

    질문3. 제 앞니 치근이 짧나요?

    -절대적인 기준은 없지만 파노라마 상으로만 본다면 치근이 짧아보입니다


  • 안녕하세요. 이정현 치과의사입니다.

    오른쪽 앞니 두번째 치아의 반대교합을 제외하면 치열이 거의 정상에 가깝습니다.

    안모자체가 약간 입술이 튀어나와보이긴 하나, 자세히 보지 않는다면 거의 느끼지 못할 정도입니다.

    이정도에서 교정을 한다면, 반대교합부위만 투명교정으로 가능할 수 있습니다. 양악수술을 하기엔 좀 아까워보입니다.

    정확한것은 교정치과에서 상담을 받아보시기 바랍니다. 감사합니다.

  • 탈퇴한 사용자

    탈퇴한 사용자

    22.03.16

    안녕하세요. 장인아 치위생사입니다.

    투명 교정 장치는 투명한 얇은 플라스틱으로 제작한 장치로 매우 심미적입니다.

    교정 장치를 치아에 부착하지 않으므로 치아 교정이 편리합니다.

    상태가 심하지 않은 경우에 주로 사용합니다.

    사진상으로는 정상교합으로 보여지는데 교정을 원한다면 치과 방문해서 교정가능여부 상담 받아보면 좋을것 같습니다.

    건강하세요.