아하
  • 토픽

  • 스파링

  • 잉크

  • 미션


의료상담

안녕하세요. 질문이 많아요

안녕하세요. 질문이 많아요

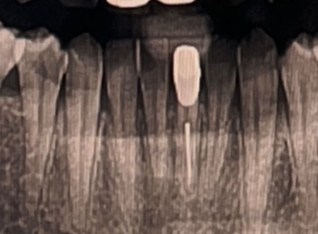
혹시 크라운 씌운 아랫니인데 무슨 문제가 있나요?

신경치료 하고 씌운지 오래 된 아랫니입니다. 화질이 좋지는 않지만 혹시 무슨 문제되는 사항이 있는지 여쭤보고싶어서 질문드립니다.

  • 1번 째 사진
  • 2번 째 사진

4개의 답변이 있어요!

  • 김지훈 치과의사

    김지훈 치과의사

    메가

    안녕하세요. 김지훈 치과의사입니다.

    엑스레이에서는 염증이나 기타 특정한 소견이 보이지는 않는 것 같습니다. 화질때문에 정확히는 모르겠습니다.

  • 안녕하세요. 김철진 치과의사입니다.

    엑스레이 상으로 크게 문제가 잇어 보이진 않습니다. 관리를 잘하시면서 사용하시면 될것같습니다.

  • 안녕하세요. 최석민 치과의사입니다.

    이정도 화질의 사진 가지고는 평가할 수 있는게 제한적입니다. 특별히 신경치료가 아주 잘못되었거나 그래보이진 않습니다.

  • 안녕하세요. 안상우 치과의사입니다.

    사진으로는 정확한 확인이 어려워 보입니다.

    크게 문제는 없어보이지만 불편감이 있다면 치과에서 진료를 받아 보는것이 좋습니다.