아하
  • 토픽

  • 스파링

  • 잉크

  • 미션


궁금한이야기

궁금한이야기

MRI 판독지 및 사진 해석 부탁드립니다.

성별

남성

나이대

28

기저질환

허리디스크

복용중인 약

X

1년전에 허리가 안좋아서 MRI를 찍었는데 저번주에 경미한 교통사고가 났습니다.

그 후 다리에 저림증상이 있기 시작했고 피가 안통하는 느낌이 들기 시작했습니다.

경미한 교통사고가 다리저림에 원인일 수 있을까요? MRI판독 부탁드립니다 ㅠㅠ

1년전

ㅡㅡㅡㅡㅡㅡㅡㅡㅡㅡㅡㅡㅡㅡㅡㅡㅡㅡㅡㅡㅡㅡㅡㅡㅡㅡㅡㅡㅡ

현재

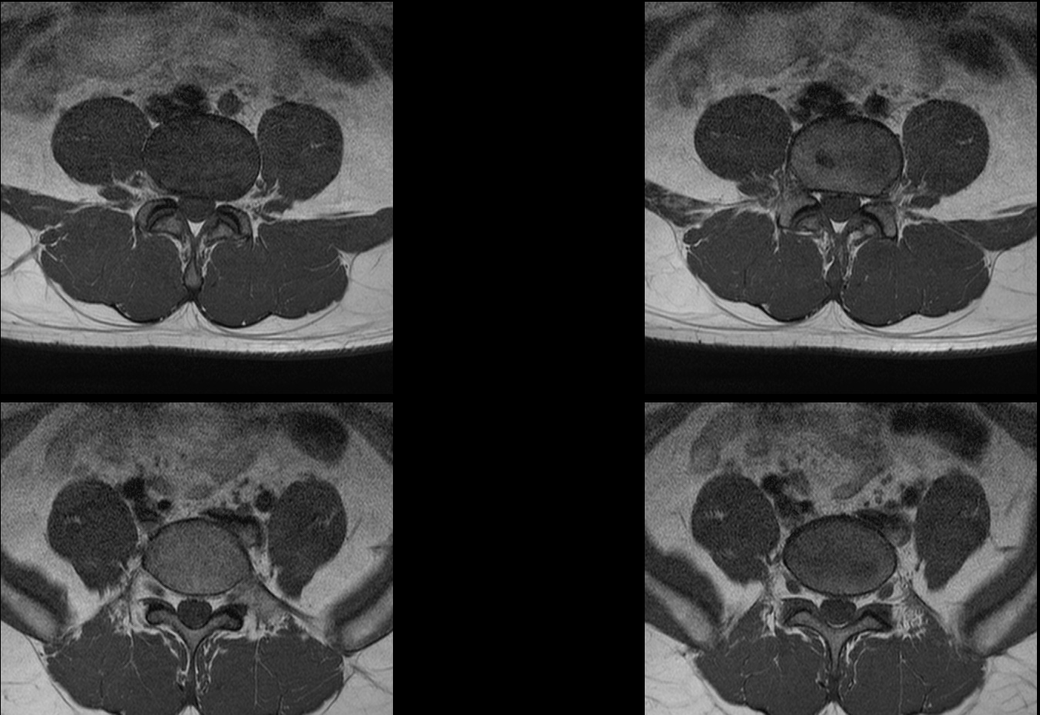
  • 1번 째 사진
  • 2번 째 사진
  • 3번 째 사진
  • 4번 째 사진
  • 5번 째 사진
  • 6번 째 사진
  • 7번 째 사진
  • 8번 째 사진
  • 9번 째 사진
  • 10번 째 사진
  • 11번 째 사진
  • 12번 째 사진

1개의 답변이 있어요!

  • 탈퇴한 사용자

    탈퇴한 사용자

    안녕하세요. 정철희 의사입니다.

    허리디스크 MRI 영상에 대해 문의 주셨는데요, 답변해 드리겠습니다.

    1년 전 사진에 비해 허리디스크 상황이 악화된 것으로 생각됩니다. 다리저림은 이로 인한 증상으로 생각됩니다.

    그러나, 말씀하신 내용과 검사결과만으로는 교통사고와의 연관성에 대해 단정지어 말하기는 어렵습니다. 증상이 점차 악화되어 발생한 것인지, 교통사고에 의해 갑자기 악화된 것인지에 대한 판단이 추가로 필요하겠습니다.

    답변이 도움이 되셨길 바랍니다. 감사합니다.