의료상담

해당 부위 요도 곤지름인가요? 알려주세요!!

성별

남성

나이대

30대

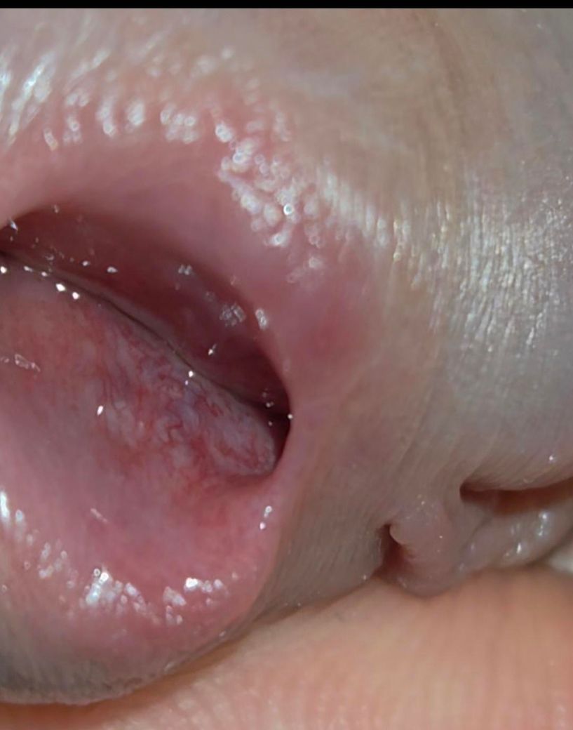
혈관이 보이고 소변볼때 약간의 따가움이 있고 가끔 순간적으로 간지러울때도 있습니다. 피는 안나구요 너무 걱정되네요 포항쪽에 요도쪽 치료하는 병원이 았을가요?

  • 1번 째 사진
  • 2번 째 사진

1개의 답변이 있어요!

  • 안녕하세요. 김창래 내과 전문의입니다.

    올려주신 사진상으로는 뚜렷한 발적이나 부종 소견이 관찰되지 않습니다.

    하지만 배뇨통이나 간지러움이 있다면 요도염을 의심해 볼 수 있어 이에 대한

    진료가 필요합니다. 요도염은 종합병원이 아니더라도 1차 비뇨의학과 의원에서도

    진료가 가능하므로 가까운 비뇨의학과 진료를 보시는 것을 권해드립니다.