아핫뉴스실시간 인기검색어
아핫뉴스 화산 이미지
화산 아이콘 11
미국 정부 비트코인 매입
아하

반려동물

반려동물 건강

깜찍한천인조70
깜찍한천인조70

고양이 위 복부팽창 수술 글자수 채우기

반려동물 종류
고양이
품종
코숏
성별
암컷
나이 (개월)
2년 반
몸무게 (kg)
4.2
중성화 수술
1회

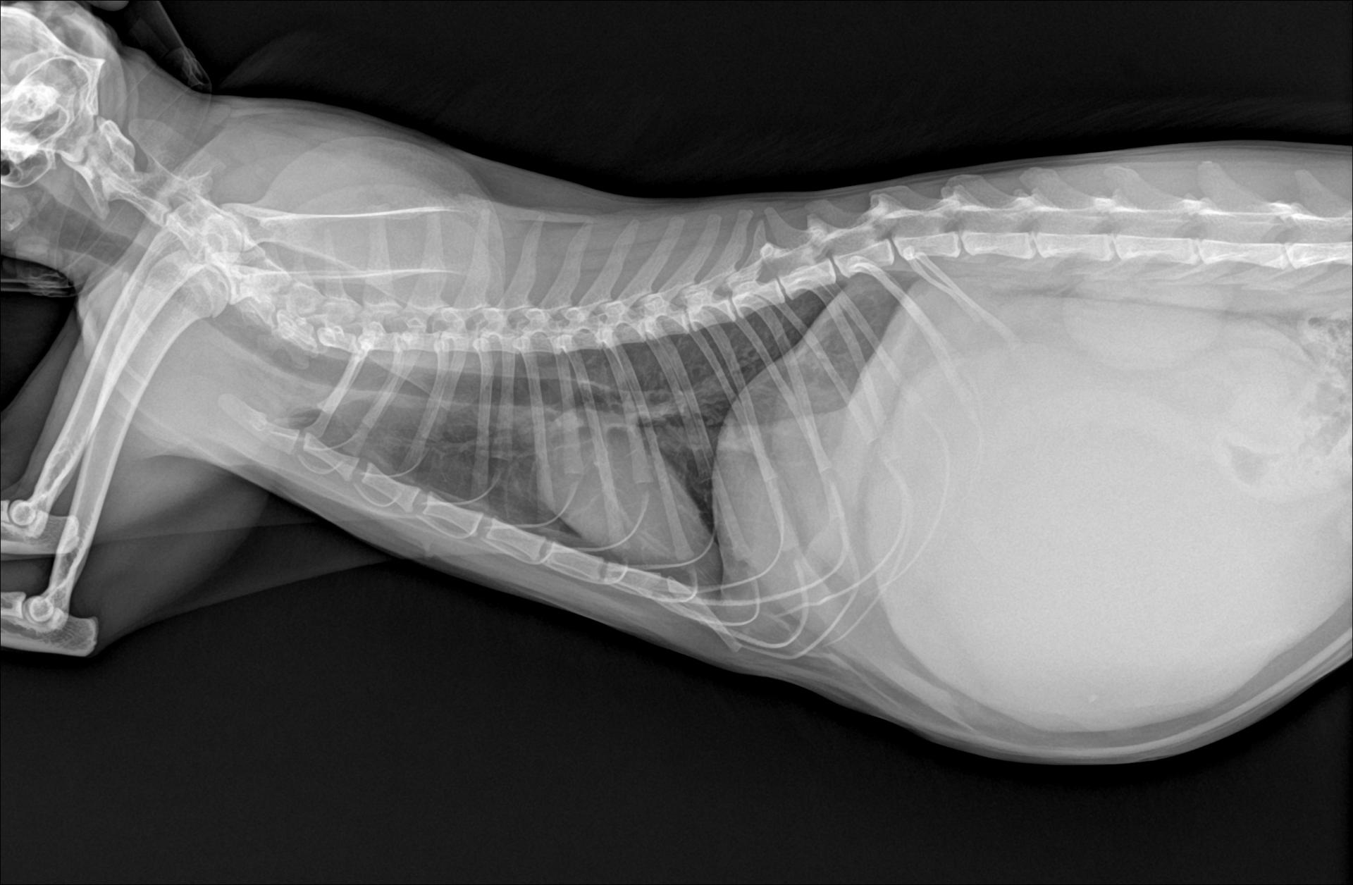
저희집 2살좀 넘은 고양이가

며칠전부터 잇몸과 귀가

창백하고 복부팽창이 심해

병원에서 x-ray를 찍었는데

선생님 말씀이 위가 비정상적으로

팽창돼 있다며 큰 병원가서

검사 받고 수술하라 하시네요

처음엔 저랑 선생님이 복막염을

의심했었는데 사진을 찍으시더니

복수같아 보이지 않으시다네요

너무 심란하네요

요약 정보가 없어요.
2개의 답변이 있어요!
  • 안녕하세요. 신상윤 수의사입니다.

    말씀해주신 고양이의 증상인 잇몸과 귀의 창백, 복부팽창, 위 확장은 비교적 중대한 내과적 혹은 외과적 문제와 관련될 가능성이 높습니다. 창백한 점막은 빈혈, 순환장애, 또는 쇼크 전단계의 혈류 부족을 시사하며, 복부 팽창은 그 원인에 따라 크게 소화기 팽창(가스나 내용물로 인한 위 확장), 복수, 장폐색, 종양, 또는 복부 내 장기 비대 등으로 나눌 수 있습니다. 선생님께서 복수를 배제하셨다면, 현재 가장 가능성이 높은 원인은 위확장 혹은 위 확장에 의한 장폐색, 위운동 장애일 수 있습니다.

    위가 비정상적으로 늘어난 경우, 위 내부에 가스나 음식물이 빠져나가지 못해 팽창하면서 주변 장기를 압박합니다. 이로 인해 혈류가 감소하고, 위벽 허혈이나 괴사, 순환장애가 동반될 수 있습니다. 특히 고양이는 개보다 위염전(GDV)이 드물지만, 장염이나 종양, 위유문부 협착, 혹은 삼킨 이물로 인해 위 내용물이 배출되지 않아 2차 확장이 생기기도 합니다. 또한 복부 팽창이 심하면 횡격막을 눌러 호흡곤란이 나타나고, 잇몸 창백이 심화될 수 있습니다. 현재 응급상황입니다.

    만약 기계적 폐색이나 장 염전이 확인된다면, 빠른 외과적 처치가 예후에 결정적 영향을 미칩니다. 반대로 단순 위확장이나 위무력증(위마비)이라면 내과적 감압과 수액치료, 위장운동촉진제 투여로 호전될 수 있습니다. 빠른 진료 및 개입이 필요할 것으로 보입니다. 지체없이 이동하시길 바랍니다.

    감사합니다. 추가 문의 사항 있으신 경우 댓글 적어주세요.

    추가로, 정확한 원인 확인과 치료 방향은 반드시 내원하여 수의사에게 직접 진찰과 상담을 받으셔야 합니다.

    1명 평가
  • 고양이의 잇몸과 귀 창백, 심한 복부 팽창 증상에 대해 위 비정상 팽창 소견을 받으셨다면, 이는 위 확장 및 염전(GDV)과 같은 응급 상황을 포함하여 심각한 소화기계 문제일 가능성이 있으므로, 지체하지 마시고 즉시 대학병원급의 2차 동물병원에 방문하시어 정밀 검사(초음파, 혈액 검사 등)를 받고 외과적 수술을 포함한 전문적인 처치를 받으셔야 합니다.

    1명 평가