아핫뉴스실시간 인기검색어
아핫뉴스 화산 이미지
화산 아이콘 11
기요사키 비트코인 권장
아하

의료상담

치과

싹싹한독수리198
싹싹한독수리198

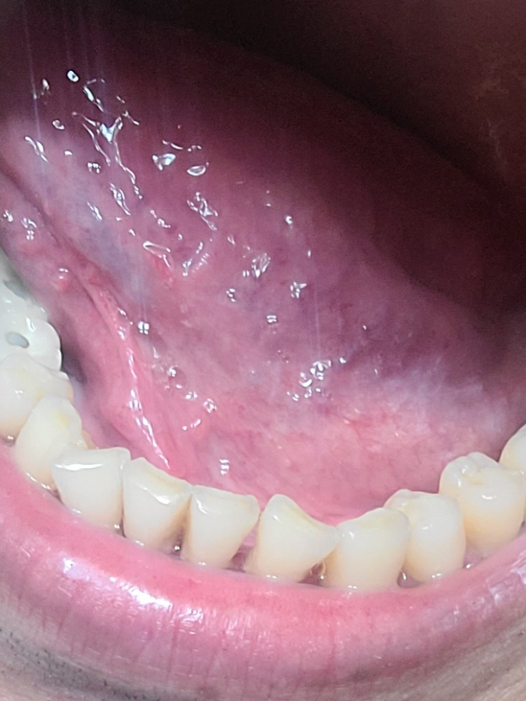
원래 혀 아래가 이런가요? 혀백반증 같은데ㅜㅜ

면역력 저하로 인해서 이렇게 혀아래가 하애지는거 같은데...

혀 백반증은 아니겠죠?ㅜㅜ 너무 걱정됩니다


혀아래가 이렇게 하얘지면 위험한거죠?

ㅜㅜㅜㅜㅜ

  • 1번 째 사진
5개의 답변이 있어요!
  • 안녕하세요. 김지훈 치과의사입니다.

    보내주신 사진에는 백반증의 소견은 보이지 않으며 정상적인 상태로 보이기 때문에 걱정하지 않으셔도 될 것 같습니다.

  • 안녕하세요. 정진석 치과의사입니다.

    백반증의 형태도 아니며 사진상으로 보았을 때는 큰 문제가 되지 않습니다. 해당 부위는 일반인들이 살아가면서 자주 보지 못하다가 우연히 접한 이후에 이상하다고 생각할 수 있는 구조물이 많은 부위입니다. 사진 상에서 전혀 문제가 되지 않으며 통증 및 불편감이 없다면 크게 걱정하지 않으셔도 됩니다.

    아무쪼록 저의 답변이 문제 해결에 작게 나마 도움이 될 수 있기를 기원드립니다. 항상 건강하고, 행복하세요^^

    정진석 치과의사 드림

  • 안녕하세요. 김철진 치과의사입니다.

    사진상으로 보면 크게 문제가 있어 보이는거 같진 않습니다. 혀백반증은 회백색의 딱딱한 점막이 혀에 나타나는 증상입니다.

  • 안녕하세요. 안상우 치과의사입니다.

    사진으로만 봤을경우에는 큰문제가 없는것으로 보입니다.

    혀가 신장이 되면 일시적으로 혈액이 빠지면서 하얗게 보일수 있어요.

    자세한 확인을 위해서 치과에저 진료를 받아보세요.

  • 탈퇴한 사용자
    탈퇴한 사용자

    안녕하세요. 장인아 치과위생사입니다.

    정상구조로 보입니다.

    구강백반증은 구강내에 하얀반점이 생기는 질환으로 자연치유가 많습니다.

    도움이 되기를 바랍니다. 건강하세요.