아하
  • 토픽

  • 스파링

  • 잉크

  • 미션


의료상담

비상하는 올빼미862

비상하는 올빼미862

앞니부분교정 시에 입술 튀어나올수있나요? 턱관절 통증과 모양 정상인지?

질문1. 앞니 부분교정 시 입술이 튀어 나와보일 수있나요? 제가 스스로 느끼기에 평소에 약간 돌출입이 있다고 생각했는데 앞니교정으로 인하여 교정하는 중이나 끝나고도 더 튀어나와 보일까 걱정됩니다

참고로 앞니 하나가 후방으로 약간 들어가 있어서 전방으로 빼내야 하는상태입니다

질문2. 제가 앞니들이 치근이 짧다고 들었는데 앞니부분교정 짧으면 6개월 길면 1년정도 한다는데 잇몸이나 치근에 문제가 없을까요?

질문3. 앞니부분교정은 보통 6개월이 평균인가요?

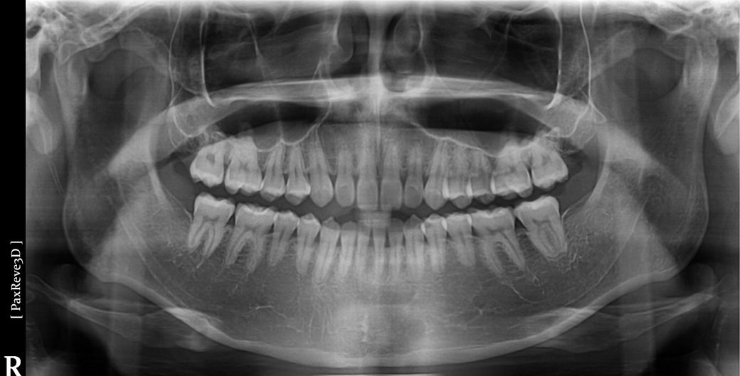
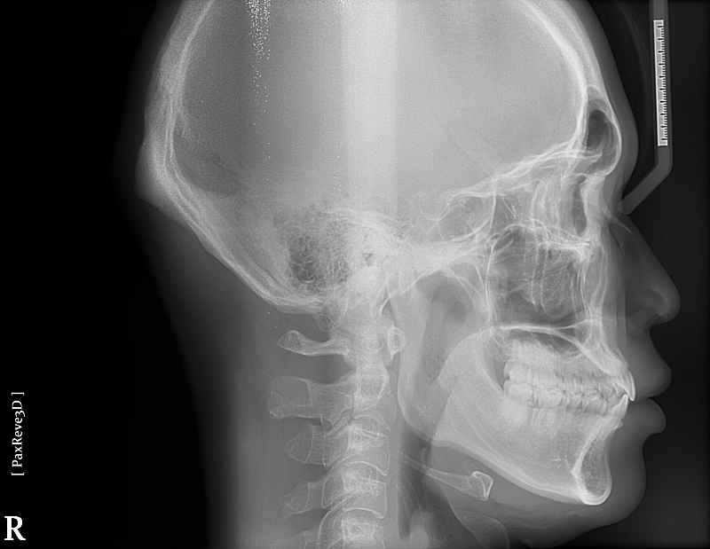
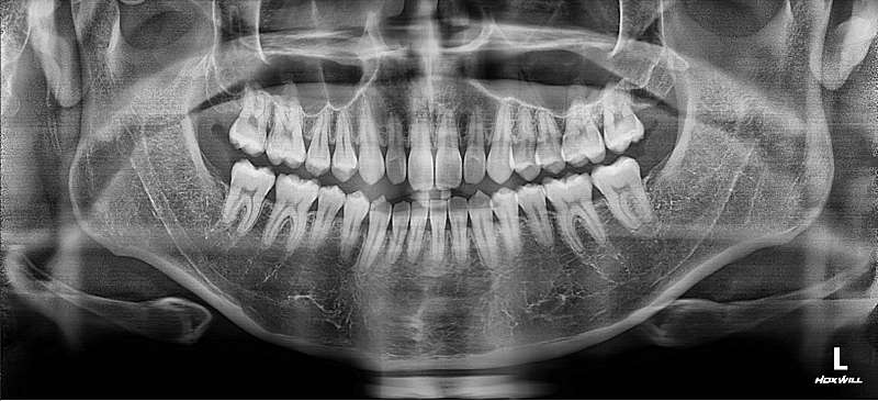
질문4. 제가 가끔 오른쪽 턱관절이 따닥소리나고 통증이 있을때가 있는데 파노라마 사진보면 관절구나 전체적인 턱 상태가 정상일까요?

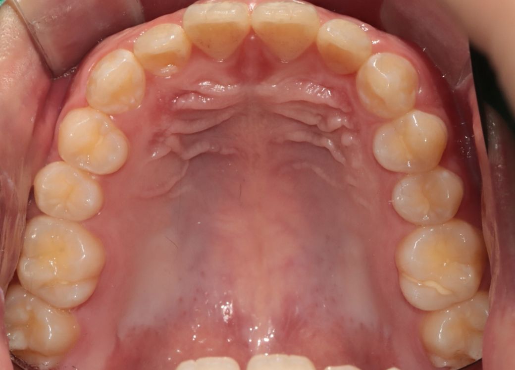
  • 1번 째 사진
  • 2번 째 사진
  • 3번 째 사진
  • 4번 째 사진
  • 5번 째 사진

4개의 답변이 있어요!

  • 이효상 치과의사

    이효상 치과의사

    안녕하세요. 이효상 치과의사입니다.

    턱관절에 딱딱 소리가 난다면 정복성관절원판변위 등의 문제가 있을 수 있습니다.

    (자갈갈리는 소리가 나신다면 관절염에 가까우므로 특히 빠른 치료가 필요합니다.)

    단단한 것을 자제하시고

    부드러운음식을 위주로 드셔야합니다.

    간헐적으로 턱이 걸리는 느낌이 드신다면

    APA(=Anterior Positioned Appliance)등의 장치를 사용하셔야할 수도 있습니다.

  • 안녕하세요. 정진석 치과의사입니다.

    1. 교정력을 어떻게 주느냐에 따라 안모 변화는 달라질 수 있으나 대부분은 안모는 치열보다는 골격적인 부분이 많은 부분을 차지합니다.

    2. 치근흡수는 교정에 의해 발생하는 대표적인 부작용이나 무조건 나타나는 것이 아니며 기간이 길다고 해서 반드시 나타나는 것도 아닙니다.

    3. 교정에는 평균이라는 것이 의미가 없으며 개인이 가지고 있는 구강 상태에 따라 기간은 모두 상이합니다.

    4. 현재 상태에서는 정확한 턱관절 상황을 알 수 없으나 사진 상으로 보아서는 크게 문제가 되는 부분은 없습니다. 물론 정확한 판단을 위해서는 ct 및 방사선 뷰가 필요합니다.

    아무쪼록 저의 답변이 문제 해결에 작게 나마 도움이 될 수 있기를 기원드립니다. 항상 건강하고, 행복하세요^^

    정진석 치과의사 드림

  • 안녕하세요. 김철진 치과의사/경제·금융전문가입니다.

    질문1. 앞니 부분교정 시 입술이 튀어 나와보일 수있나요? 제가 스스로 느끼기에 평소에 약간 돌출입이 있다고 생각했는데 앞니교정으로 인하여 교정하는 중이나 끝나고도 더 튀어나와 보일까 걱정됩니다

    -교정중이시라면 브라켓때문에 입술이 더 튀어나오게 느낄수 있습니다. 교정이 끝난다면 그렇진 않을꺼에요.

    질문2. 제가 앞니들이 치근이 짧다고 들었는데 앞니부분교정 짧으면 6개월 길면 1년정도 한다는데 잇몸이나 치근에 문제가 없을까요?

    -급속으로 교정을하거나 그렇지만 않는다면 크게 걱정하진 않으셔도 될것같습니다.

    질문3. 앞니부분교정은 보통 6개월이 평균인가요?

    -보통 부분교정은 6-12개월정도 생각하시면됩니다.

    질문4. 제가 가끔 오른쪽 턱관절이 따닥소리나고 통증이 있을때가 있는데 파노라마 사진보면 관절구나 전체적인 턱 상태가 정상일까요?

    -턱관절에 통증이 잇거나 소리가 난다면 턱관절에 문제가 있을수 잇습니다. 통증이 지속되거나 증가된다면 턱관절 검사를 받아보시는게 좋을것같습니다.

  • 안녕하세요. 안상우 치과의사/경제·금융전문가입니다.

    교정을 하는경우에 치아가 배열이 되면서 공간이 부족하다면 앞쪽으로 나올수 있어요.

    사진으로 보이는 상악치아의 경우에는 가지런해 보입니다

    돌출입이 치아자체의 위치의 문제라면 교정으로 넣을수 있지만 골격적인 문제라면 교정이외에 추가적인 치료등이 필요할수 있습니다.