사랑니 발치하면 부작용 생기나요?
살면서 처음 사랑니 통증을 겪고 있습니다.
처음에는 충치인가? 아니면 치아파절인가? 싶을 정도로 너무 시리고 아파서
손으로 만져보고 거울에 비춰보고 하니 사랑니가 누워서 어금니를 밀어내고 있던 것이었습니다.
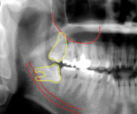
지금 제 상황과 가장 유사한 사진 인용했습니다.
좌측 아래 사랑니이고 80도 정도 누워있는데 어금니를 혀 쪽으로 밀어내어 살짝 들어갔습니다.
사랑니를 인지하고 병원가기 전날은 너무 아파서 잠을 못 잘 정도였습니다.
붓기가 안 빠져서 약 먹으며 계속 경과 지켜보는 중인데,
주변에서 사랑니를 빼면 신경을 다칠 수도 있고
치아간 간격이 넓어지는 등 여러가지로 안 좋은 점이 많다고
웬만하면 안 뽑는게 좋다는 얘기를 하더군요.
현재 증상
1. 턱을 크게 벌리면 통증이 생김
2. 혀 뿌리쪽에 이물감 있음
3. 턱 근육이 근육통 생긴 것 처럼 뻐근함
4. 맥박을 따라서 통증이 느껴짐
5. 턱 밑을 손으로 누를 시 알 베긴 부분 마사지 하는 것 처럼 아픔
6. 음식 씹을 때 어금니가 안쪽으로 들어간 것이 느껴짐
사랑니를 발치하는 것이 정답일까요?
안녕하세요. 안상우 치과의사/경제·금융전문가입니다.
사랑니가 기울어져 나게 된다면 해당 부위에 음식물이 많이 끼게 되어 염증이 생길 수 있습니다.
이런 경우에는 사랑니를 발치해 주는 것이 좋은데 사진처럼 사랑니의 뿌리가 신경과 가깝다면 발치 도중에 신경손상이 발생하는 경우가 있습니다.
신경에 손상이 발생하게 되면 대부분는 시간이 지나면서 돌아오는 경우가 많지만 드문 경우로 영구적인 신경손상이 발생하는 경우도 있습니다.
안녕하세요. 송우식 치과의사입니다.
누워서 나는 사랑니는 수평 매복지치라고 하며 이런경우에는 가능한 발치해야만 사랑니 바로앞에 어금니를 보호할수 있습니다. 이는 큰 수술이기에 통증을 유발할 수 있으며 치료 후 3-4일간으 붓고 통증이 생기게 됩니다. 사랑니 뿌리가 신경과 근접해 있는 경우 입술 감각이 달라지는 경우도 있습니다. 따라서 구강외과 전문의에게치료를 받으시길 권장드립니다.
감사합니다.
안녕하세요. 김용균 치과의사입니다.
제가 보기에는 나중에라도 사랑니때문에 문제 생길 가능성이 있으므로 빼주시는것이 좋을것같습니다.
첨부한 사진의 경우 매복되어 발치시 신경손상의 위험이 있으므로 큰 병원에서 발치하는걸 추천드립니다.
안녕하세요. 김바른 치과의사입니다.
잇몸 위로 노출되지 않은 사랑니의 경우 구강내 미생물의 영향을 받지 않기 때문에 발치하지 않으셔도 괜찮습니다.
그러나 치아가 누워서 자라고 있고 잇몸밖으로 노출된 경우 정상적으로 맹출되어 대합치와 교합되기 어려우므로 치아우식증이나 치관주위염과 같은 질환을 발생시키기 이전에 예방적으로 발치할 것을 권해드립니다.
안녕하세요. 이정현 치과의사입니다.
현재 통증이 사랑니로 인한것이라면, 사랑니를 발치하는게 좋습니다.
사랑니를 뺀다고 해서 치아가 벌어지는것은 아닙니다. 다만 신경관과 가까운경우 감각이상이 생길 가능성은 있습니다.
정확한것은 검사가 필요하기 때문에 치과에서 진단을 받아보시기 바랍니다. 감사합니다.
안녕하세요. 이성영 치과의사입니다.
1. 사랑니가 어금니를 밀어 어금니가 이동하지 않습니다. 심지어 사랑니가 어금니를 밀 수 있다고 하더라도 사랑니의 방향으로 인해 앞 치아쪽으로 어금니를 밀어내지 혀 쪽으로 밀어낼 수도 없습니다.
2. 해당 사진으로 보면 사랑니가 부분매복되어 있는 경우이며, 이런 경우에는 두번째 큰어금니와 사랑니 사이 공간으로 음식물 등의 이물질이 쉽게 끼어들어가지만 빼내기 힘든 부위입니다.
이 부위에 음식이 저류하게 되면 염증이 쉽게 발생하고, 질문한 내용처럼 심한 통증과 부기가 발생할 수 있습니다.
또한 해당 부위에 음식이 저류하면서 사랑니 머리와 앞 어금니 뒷면에 충치가 발생될 수 있으며, 특히 앞 어금니는 옆구리에서 충치가 발생하기 때문에 신경까지 거리가 짧아 충치가 빠르게 신경까지 침범할 수 있습니다.
3. 이런 이유로 위 사진과 같은 경우라면 사랑니가 아닌, 앞 어금니가 손상될 가능성이 높기 때문에 예방적으로 사랑니를 뽑는 것이 권장됩니다.
4. 다만 현재 심한 통증의 원인이 사랑니 때문으로 단정할 수 없으며, 우선 치과에 내원하여 정확한 검사를 받고 통증의 원인에 대한 조치를 받는 것이 좋을 것으로 보입니다.
안녕하세요. 정진석 치과의사입니다.
현재 증상으로 보아서는 사랑니 주변의 치관주위염 및 농양으로 보여집니다. 염증이 심하여 주변 조직까지 침범한 것으로 보여지며 이에 의해서 열감을 동반한 불편감이 나타나는 것으로 보여집니다. 상황에 따라서는 응급하게 발치해야하는 경우도 있어 보이며 지체하지 마시고 치과를 방문하여 발치를 하는 것이 필요해보입니다.
심할 경우에 염증이 근막을 타고 내려가거나 올라가면 매우 심각한 상황이 올 수도 있으며 앞쪽 어금니도 발치해야할 수도 있습니다.
아무쪼록 저의 답변이 문제 해결에 작게 나마 도움이 될 수 있기를 기원드립니다. 항상 건강하고, 행복하세요^^
정진석 치과의사 드림
안녕하세요. 김철진 치과의사/경제·금융전문가입니다.
아래 사랑니가 관리가 안되셔서 그쪽으로 염증이 생기신것같습니다. 저런상황이고, 관리가 잘안되시면 발치 하시는게 좋은 방법이죠.
사랑니 뿌리가 신경과 맞닿아 있다면 뽑는과정에서 눌리는 일이 생길수 있습니다. 단순히 눌리는 걸로는 영구적인 신경손상은 발생하지 않고, 일시적인 현상으로 나타납니다. 짧게는ㄴ 6개월에서 1년정도 지켜봐야 합니다.

