갈리고 닳은 치아 어떤 치료를 받아야 하나요?
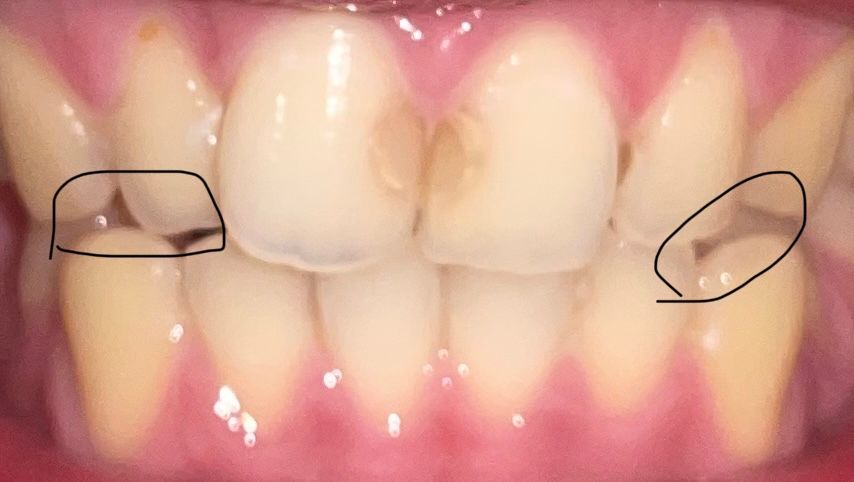
아래 치아 송곳니가 좀 많이 갈렸는데 옛날 사진이랑 비교해 봐도 티가 많이 납니다 빈공간도 생기고 치과가서 어떤 치료를 받아여 할까요 크라운을 씌워야 하나요?
안녕하세요. 안상우 치과의사입니다.
해당되는 부위의 빈 공간은 치아의 비열의 문제인 것으로 보입니다 . 공간이 신경쓰인다면 보철치료를 받아서 공간을 메꿀 수 있습니다.
자세한 확인을 위해서 치과에서 진료를 받아 보세요.
안녕하세요. 김지훈 치과의사입니다.
잇몸이 퇴축되고 치아가 마모되는 것은 교합이 문제일 가능성이 높으며
치아가 마모되지 않도록 교합을 조정할 필요가 있을 경우 조정하고 악습관을 바꿀 것 같습니다.
크라운이 필요한 치아는아닙니다.
안녕하세요. 최석민 치과의사입니다.
송곳니는 교합(위아래 치아 맞물림)설정, 외모(심미)와 관련해서 굉장히 중요합니다
따라서 오래써야하는 치아고 실제로 나이가 들어도 가장 늦게 빠지는 치아 중 하나입니다
현재로선 송곳니가 마모가 다소 진행되었는데 이로 인해 교합이 망가져있을 수 있으므로 교합에 대한 평가 (특히 전방유도교합)가 필요하겠고 더하여 왜 마모가 되고 있는지 원인파악 후 개선이 필요하겠습니다
단순히 크라운 씌운다고 끝날 부분은 아닙니다 원인 파악후 크라운 씌우는 치료 진행해도 늦지는 않습니다
+ 참고로 앞니 충치는 치료할 필요성이 있는 정도입니다
안녕하세요. 김철진 치과의사입니다.
치아가 마모된경우에는 증상이 없다면 그냥 지내셔도 크게 문제가 되지 않습니다. 사진은 마모된것보다는 무시는걸 다르게 해서 차이가 나는거 같습니다.
안녕하세요. 송우식 치과의사입니다.
갈리고 닳은 치아 의 경우 마모 정도가 크지 않은 경우 크라운 보다는 레진으로 떼우는 치료가 가능합니다.
궁금증 해소에 도움이 되시길 바라며, 도움이 되신 경우 '추천' 부탁드립니다.

