아하
  • 토픽

  • 스파링

  • 잉크

  • 미션


의료상담

이미고요한도시락

이미고요한도시락

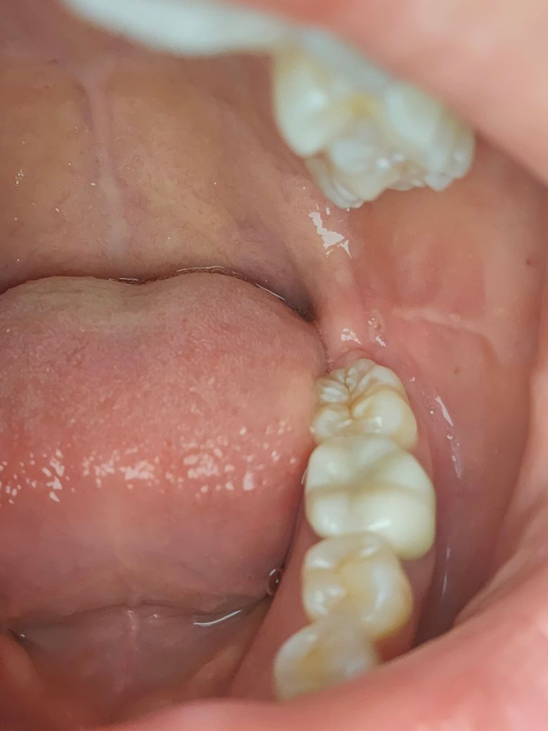
약혐) 입에 구내염이 너무 자주 생겨요.

성별

여성

나이대

23

목젖이나 입천장, 사랑니 쪽의 잇몸, 입술 안 등. 여러 곳에서 구내염 같은 게 생깁니다. 평소에도 아프고 신경 쓰이네요. 병원 가서 약을 받아도 그리 큰 효과가 없습니다. 원래 목이 자주 붓거나 침샘이 붓는 일이 자주 있습니다. 구내염이 생겨서 그런지 귀도 같이 찌릿하게 아파오네요.

구내염을 완화하는 방법은 없을까요?

침샘이 붓는 일도 관련이 있을까요?

만약 영양 문제라면 이럴 땐 어떤 걸 섭취해야 할까요?

  • 1번 째 사진
  • 2번 째 사진

2개의 답변이 있어요!

  • 채홍석 가정의학과 전문의

    채홍석 가정의학과 전문의

    유성선병원

    우선 류마티스 관련 진료를 받아보세요

    별 문제가 없다면 잘 주무시고 청결을 유지하세요

    비타민 C를 꾸준히 복용하시면 예방에 도움이 됩니다.

  • 영양은 큰 문제가 없답니다. 요즘 사람들이 잘 못먹는 것은 아니니깐요. 불면이나 피로, 스트레스 관리가 필요합니다. 그리고 구내염이 생겼을 때는 구강 연고를 발라 보셔도 도움이 됩니다.