의료상담

치아 어금니 통증 질문 드립니다...

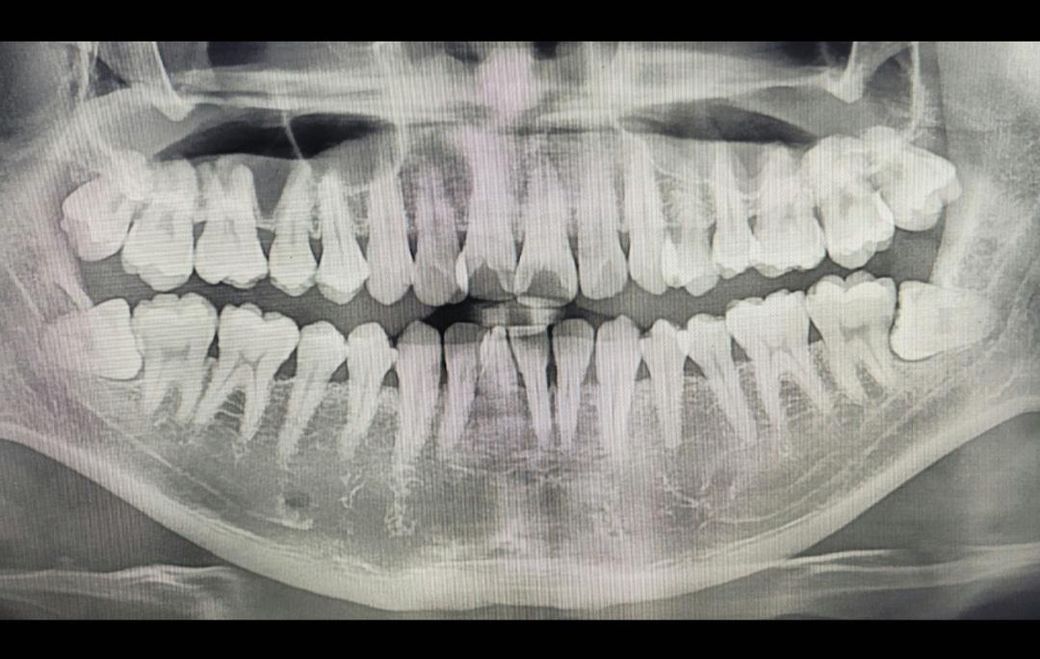
왼쪽 (사진상으론 오른쪽) 사랑니 바로 아래 어금니 통증이 깨물때 살짝 있길래

제가봐도 무식하지만 그래도 신경쓰여서 시간날때마다 정확히 어디 어떤 통증이 생기는지 윗 어금니로 아래 어금니를 깨물고 쳐보고 하룻동안 하다보니

윗니는 잇몸이 살짝 부은느낌이 생기고

문제의 아랫 어금니는 통증이 심해져서 깨물면 아프고 가만히 있어도 쑤시고 애리는 통증이 생겼습니다

어금니에 계속 자극이 가해져서 생긴 일시적인 통증일까요?

답변 부탁 드립니다

  • 1번 째 사진

1개의 답변이 있어요!

  • 안녕하세요. 최석민 치과의사입니다.

    치아에 충치가 있거나 크랙이 있을 경우 내지는 잇몸에 염증이 있으면 그럴 수 있습니다. 일단은 치아에 무리한 자극을 가하지 마시고, 딱딱한 음식도 며칠 피하시어 부드러운 음식만 드셔보세요. 그래도 증상이 개선되지 않으면 치과가서 검사해보면 됩니다.

    채택 보상으로 258베리 받았어요.

    채택된 답변