잇몸 염증이 코감기랑 관련이 있나요? 아니면 어떤 치아때문에 생긴 염증일까요
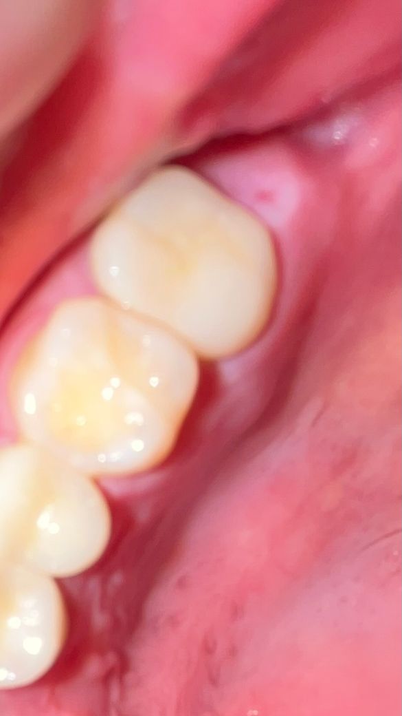
첫 번째 사진이 염증약 처방 후에 사진이고
나머지 사진 3장이 방금 찍은 지금 상태입니다.
사진에 보이는 제일 안쪽 어금니를 신경치료 후에 금니로 씌웠었고 몇 년 후 염증이 생겨서 재신경치료를 했습니다. 후에 금말고 레진(정확하게 모르겠어요ㅜ)으로 씌워서 잘 지내다가 올해 2월 초에 그 앞앞 치아 충치때문에 통증이 있어서 해당 치아도 신경치료를 했습니다. 그 사이에 있는 치아도 벽이 썩어서 레진으로 떼웠고요. 치료 후에 원래 있던 통증도 사라지고 아픈 곳도 없었는데 3월 말부터 조금씩 뭔가 만져지면서 아프기 시작해서 4월 1일에 병원에 방문했습니다. 병원에서는 감기 때문일 수 있다며 염증약을 처방해줬고, 3일간 약을 먹었지만 낫지 않았습니다. 그 주 주말에 바로 코감기가 걸려서 잇몸 통증은 잊게 되었는데 어제부터 혀로 만져보니 그 전만큼 아픈 건 아니지만 혀나 손가락으로 눌러보면 분명히 통증이 있습니다. 모양도 더 부었구요..
코감기 관련 염증인 게 맞나요 치아 때문이라면 어떤 치아때문에 생긴 염증인가요? 아님 피곤해서 면역력 저하로 인한 염증일 수도 있는지,,
일단 치료받은 병원에 방문해야할까요?
안녕하세요. 정진석 치과의사입니다.
말씀하시는 것만으로는 어느 부위에 염증이 생긴지는 알 수 없습니다. 다만 치아 자체가 아니라 연조직 질환일 가능성이 있습니다. 즉 치아가 아니라 몸의 컨디션 및 면역 저하로 인하여 나타나는 여러가지 연조직 질환으로 보여집니다. 2주 이상 지속된다면 치과 방문 후 감별진단이 필요합니다.
아무쪼록 저의 답변이 문제 해결에 작게 나마 도움이 될 수 있기를 기원드립니다. 항상 건강하고, 행복하세요^^
정진석 치과의사 드림
안녕하세요. 김철진 치과의사입니다.
감기등으로 면역력이 떨어지면 잇몸이 붓거나 피가 날수도 잇습니다. 사진상에 보이는건 어떤 자극에 의해서 잇몸에 상처로 인해서 나타나는거 같은데 크게 시간이 지나면 괜찮아 지실꺼 같습니다. 그쪽으로 최대한 자극이 가지 않도록 주의 해주세요.
안녕하세요. 김주혁 치과의사입니다.
코감기로 인해서 몸의 면역력이 떨어지고 코가 막혀 입으로 숨을 쉬다 보면
구강 내부가 건조해지고 세균이 번식해서 염증이 쉽게 생길 수 있습니다
사진 상으로는 최후방 잇몸에 생긴 염증으로 앞에 치아들과는 연관이 없어 보이지만 통증 부위가 커지고 통증이 증가하면 치과 방문하여 검사 해보는 것이 좋습니다

