홈
토픽
스파링
잉크
미션
전문가 신청
베리몰
나도 질문하기
의료상담
항상효율적인비단뱀
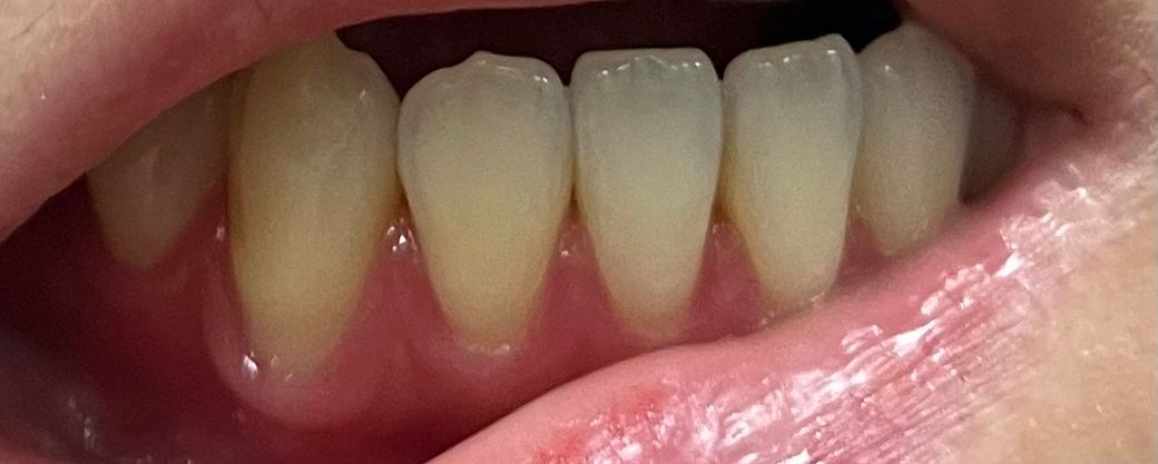
안녕하세요! 잇몸이 너무 가라앉아 고민이라 올려봅니다.. 저는 20대 여성이고 예전에 양치를 좀 세게 했는지 특히 오른쪽 치아 잇몸이 많이 가라앉았어요.. 잇몸 치료를 통해 괜찮아 질 수 있을까요? 아니면 잇몸 수술이 필요한 경우인걸까요? 잇몸 치료 혹은 잇몸 수술 해도 나중에는 결국 임플란트를 피할 수 없는 걸까요? 너무 걱정됩니다.. ㅠ
사진 보기
1개의 답변이 있어요!
최석민 치과의사
강원도 원주의료원
∙
안녕하세요. 최석민 치과의사입니다.
잇몸치료를 한다고 잇몸높이가 개선되는 것은 아닙니다 더 낮아지지 않도록 현상유지하는거고요 정말 심한 잇몸퇴축에 대해선 잇몸이식을 고려해봐야합니다
평가
1
응원하기