아핫뉴스실시간 인기검색어
아핫뉴스 화산 이미지
화산 아이콘 11
김호철 감사원장 후보자
아하

의료상담

기타 의료상담

빠른정보
빠른정보

AI가 의료계에서 어떻게 쓰이는지 궁금합니다

성별
남성
나이대
42

얼마 전 뉴스에서 AI가 사람이 판독하지 못한 것을 판독하여 발견했다고 하더라고요. 이처럼 의료계에서 AI가 지금 어떻게 쓰이고 있는지와 앞으로 어떻게 쓰일지가 궁금합니다.

3개의 답변이 있어요!
  • 안녕하세요. 김수비 의사입니다.

    AI는 X-ray, CT, MRI와 같은 의료 이미지를 분석하여 질병을 조기에 발견하거나 판독 정확도를 높이는 데 사용되고 있으며 환자의 진료 기록을 분석하여 맞춤형 치료법을 제시하거나 예후를 예측하는 데에도 큰 역할을 하고 있습니다. 앞으로는 실시간 진단 지원, 약물 개발, 그리고 원격 의료 분야에서도 중요한 역할을 할 것으로 예상됩니다.

    1명 평가
  • 안녕하세요. 채홍석 가정의학과 전문의입니다.

    업로드해주신 증상의 설명과 자료는 잘 보았습니다.

    AI는 방대한 자료를 줄일 수 있다는 점에서 의학에서 사용할 수 있을 것 같습니다

    영상의학에서는 1차적으로 정상, 비정상을 걸르는 것에서

    임상진단에서는 해단되는 증상을 포함하는 진단명을 걸르는 것에서

    사용할 수 있을 것 같아요

    그리고 해당 자료 중에서 의사들이 고르는 것이죠

    1명 평가
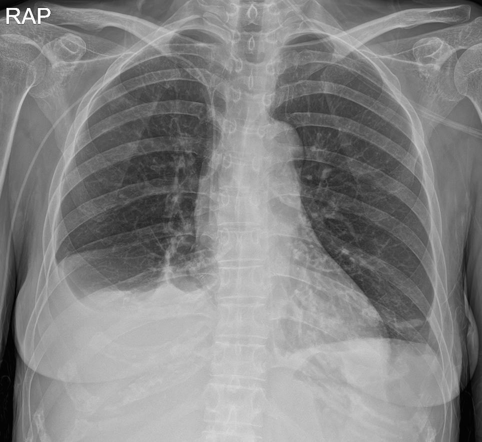
  • 안녕하세요. 남희성 의사입니다.

    아직 많이 보편화되어있지는 않지만 저희 병원에서 흉부 X-ray 판독의 경우 AI 판독이 한번 더 시행됩니다.

    X-ray를 찍게되면 저희가 보고, 영상의학과 전문의가 판독을 달고, AI 판독이 또 나오고 이렇게 AI 만 사용하지는 않고 여러번 검증하는 차원에서 도움을 받고있습니다.

    아래 사진에서 보시면 밑에 사진이 AI가 어떤 문제가 있을것 같다 하고 정보를 제공해준겁니다.

    지금은 흉부 X-ray 뿐이지만 이게 점점 더 넓은 영역으로 넓어질거라고 생각합니다.

    하지만 AI 판독만을 완전히 믿을수는 없고 저희가 한번 더 확인을 하는 절차가 필요할 거라고 생각됩니다.

    1명 평가