의료상담

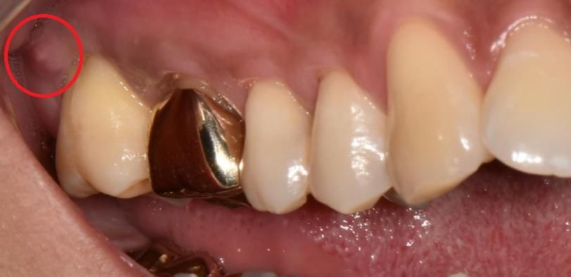
잇몸에 여드름이 자꾸 생겼다 터졌다 하는데 괜찮은걸까요??

일년에 한두번 잇몸이 붓고 가장 안쪽 어금니가 열감과 뻐근함이 있곤했는데

어느순간 저렇게 여드름이 생겼습니다.

뭔가 싶어 손으로 눌렀더니 여드름이 터졌었고요

그 이후론 저렇게 안붓고 농이 생겼다 터지고 자국만 있다가 또 농이 생겼다 터지고 그럽니다.

치과에서는 촬영도 하고 검진을 하였으나 문제가 없다고 하는데

반대쪽 어금니 잇몸에 비해 잇몸도 많이 주저앉고 걱정이 됩니다.

인터넷에선 충치나 염증 치료를 안하면 패혈증과 같은 큰 문제가 생길수 있다고 하여 문의드립니다.

  • 1번 째 사진

2개의 답변이 있어요!

  • 안녕하세요. 정진석 치과의사입니다.

    현재 사진으로는 x-ray 및 dental- ct로 촬영을 해보아야 합니다. 잇몸 자체가 많이 내려 앉아서 염증이 생겨 나타나는 증상일 수도 있고, 치아 뿌리 끝에 염증이 있어서 뾰루지처럼 나타날 수 있습니다. 2가지 가능성 모두 있으므로 x-ray와 ct 촬영으로 평가를 해보아야 합니다.

    충치치료나 잇몸 치료를 받지 않으면 패혈증 가능성이 있다는 논문이 있으나 이는 정상적으로 면역 반응이 일어나는 사람이 아닌 면역력이 과도하게 떨어져 있거나 해당 부분에 문제가 있는 사람에게 높다는 것을 의미합니다.

    채택 보상으로 369베리 받았어요.

    채택된 답변
  • 안녕하세요. 최석민 치과의사입니다.

    다른 치과가서 진단 받아보시는 것도 좋을 것 같습니다 저정도에 반복되고 농도 잡히면 단순 잇몸 염증이 아니라 치아 속 신경인 치수와 관련된 것일 가능성이 높습니다