아하
  • 토픽

  • 스파링

  • 잉크

  • 미션


의료상담

겁나자연친화적인부르주아

겁나자연친화적인부르주아

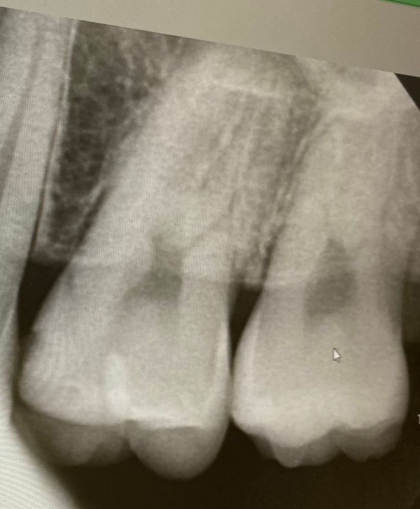
3가지 치과에서 인접면 충치 진료가 다릅니다

1번 치과는 왼쪽 위 4번째 안쪽면에 인접면 충치

왼쪽 위 2번째 어금니 레진속 2차 충치로

인레이 개당 35만 레진 15만원 씩 진료 받았습니다

2번 치과는 치료 할 수준이 아니다 경과를 지켜보자

3번 치과도 이런건 치료 안한다 경과를 지켜보자

1번과 2, 3번의 진료가 너무 상반되어 질문드립니다

어느쪽 진료가 더 맞다고 보시는지와

인접면 충치 재료를 gi와 레진도 가능하다는데

괜찮은지 궁금합니다

  • 1번 째 사진
  • 2번 째 사진
  • 3번 째 사진
  • 4번 째 사진

3개의 답변이 있어요!

  • 김철진 치과의사

    김철진 치과의사

    가까운우리치과

    안녕하세요. 김철진 치과의사입니다.

    육안상으로보면 치아 사이에 충치가 잇는거 같습니다. 관리를 잘하시면 진행이 안되겟지만 관리가 안되면 충치 진행이 빨라져서 신경치료를 해야될수도 잇으니 저라면 미리 치료를 하라고 권유할것같습니다 .

  • 안녕하세요. 안상우 치과의사입니다.

    육안으로 봤을 경우에는 인접면에 충치가 있는 것으로 보이긴 합니다. 하지만 엑스레이 사진상으로 크게 보이지 않기 때문에 관리를 해서 사용할 수 있는 경우도 있습니다. 충치가 더 커지는 것을 방지하기 위해 예방적으로 치료를 하고자 한다면 치료가 필요할 수 있으며 그렇지 않다면 관리를 하면서 상태를 지켜볼 수 있습니다.

  • 안녕하세요. 김지훈 치과의사입니다.

    치료여부는 평상시 관리상태나 구강상태에 따라 갈릴 수 있으며 지아이는 거의 쓰지 않습니다.