의료상담

딱딱한거 씹고난뒤 어금니 통증 반복됨

딱딱한걸 씹고난뒤 왼쪽 상단 어금니가 통증이 생길때가 있는데요

치과에 가보니 맨끝 어금니가 휘어있고 사이에 음식물이 잘 끼여서 통증이 있는거다 라고 하셨습니다 그래서 별다른 조치없이 시간지나면 낫는다고 하시길래 괜찮아졌었는데 딱딱한걸 씹다보면 음식물이 또 끼거나 외상이 생겨서인지 통증이 반복되네요

혹시 사랑니가 밀어서 그런가 싶어서 말씀드려보니 그럴수도 있는데 사랑니 뽑기에는 아직 이르다고 하셨었고요

원인을 해결하고 싶은데 어떤 조치를 취해야 할까요

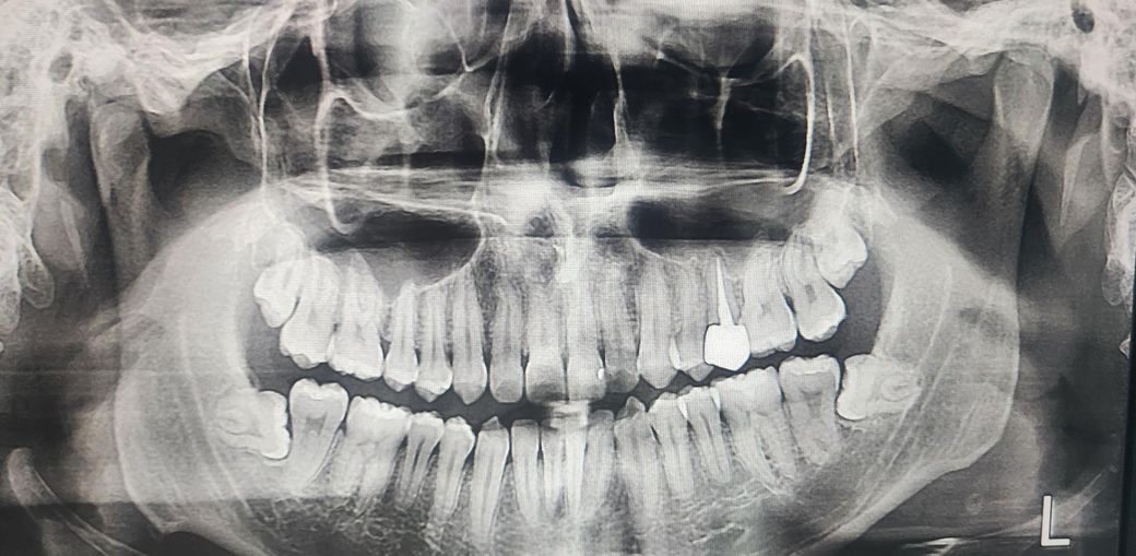
  • 1번 째 사진

2개의 답변이 있어요!

  • 안녕하세요. 정진석 치과의사입니다.

    현재로서는 교합평가를 먼저해야 합니다. 금이 가거나 잇몸 질환이 있지 않고 충치도 없는데 증상이 있다면 교합(아래 위 치아가 씹히는 위치)을 평가하여 과도하게 힘이 가해지지 않는지, 아래 치아가 위에 치아를 과도하게 특정한 방향으로 밀지 않는지 등에 대한 평가가 필요합니다. 다만 교합 평가를 하기 위해서는 현재 사진으로는 불가능하며 교합지나 t-scan 등을 활용하여 확인을 해보아야 합니다.

  • 안녕하세요. 전택근 치과의사입니다.

    치간 사이 식편이 들어가는 것은 명확한 해결책은 없습니다. 음식물이 끼더라도 잘 관리하면서 빼내는 것이 가장 상책이며 상악 사랑니는 맹출 양상 좀 더 지켜보신뒤 발치하시는 것이 좋아보이며 하악 사랑니의 경우 매복된 상태로 발치 고려하심이 좋아보입니다.

    감사합니다.