의료상담
발가락 골절. 이 경우 수술이 가능 한가요?
성별
남성
나이대
21
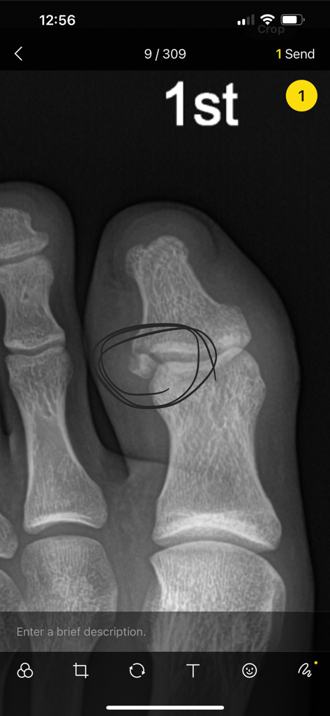
첫번째 사진이 12월11일날 찍은 엑스레이이고, 저 후에 보존적 치료 권하여 깁스를 했습니다. 붓기가 매우 심하여 2주뒤에 오 라하셔서 2주뒤에 내원했습니다. 2주뒤인 15일에도 붓기가 심한 상태입니다. 통증도 있고
그리고 15일 후인 12월26일인 날에 가서 다시 엑스레이를 찍었 는데
이렇게 원위지골의 전위가 발생하여 불유합 가능성이 높다고 진 단을 받았습니다. 저렇게 뼈가 조각나서 전위가 발생했네요.
여기서 질문 드리겠습니다
1) 혹시 수술적 치료를 하면 핀을 박는 수술을 하나요? 아니면 저 조각난 뼈를 제거하는 수술을 하나요?
2) 저정도 크기의 뼈조각이면 핀으로 고정할 수 있는 정도인가 요?
정형외과 전문의 분들, 막연하게 병원을 가보세요 같은 답변이 아 닌 제가 여쭤본 저 질문에 답변을 해주시면 감사하겠습니다 g
감사랍니다!
55글자 더 채워주세요.
1개의 답변이 있어요!
안녕하세요. 김경태 의사입니다.
고정하기엔 크기가 너무 작아서 제거하는걸 고려해볼수 있을것 같습니다.
현재 통증이 크게 심하지 않다면 지켜볼수도 있겠습니다.
장도연이 추천하는 아하!
앱으로 편리하게 사용해 보세요.