의료상담
원위지골 골절, 이 경우 수술이 가능 한가요?
성별
남성
나이대
21
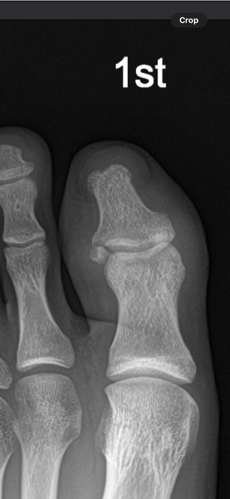
제가 헬스를 하다가 원판 5kg짜리를 기슴 높이에서 발등에 떨어져서 골절? 금? 진단을 받았습니다.
첫번째 사진이 12월11일날 찍은 엑스레이이고, 저 후에 보존적 치료릉 권하여 깁스를 했습니다. 붓기가 매우 심하여 2주뒤에 오라하셔서 2주뒤에 내원했습니다. 2주뒤인 15일에도 붓기가 심한 상태입니다. 통증도 있고
그리고 15일 후인 12월26일인 날에 가서 다시 엑스레이를 찍었는데
이렇게 원위지골의 전위가 발생하여 불유합 가능성이 높다고 진단을 받았습니다. 저렇게 뼈가 조각나서 전위가 발생했네요.
여기서 질문 드리겠습니다.
1) 혹시 수술적 치료를 하면 핀을 박는 수술을 하나요? 아니면 저 조각난 뼈를 제거하는 수술을 하나요?
2) 저정도 크기의 뼈조각이면 핀으로 고정할 수 있는 정도인가요?
정형외과 전문의 분들, 막연하게 병원을 가보세요 같은 답변이 아닌 제가 여쭤본 저 질문에 답변을 해주시면 감사하겠습니다😊 감사랍니다!
55글자 더 채워주세요.
1개의 답변이 있어요!
안녕하세요. 강성주 의사입니다.
우선 전위된 골의 크기가 매우 작아 핀으로 고정하기에 상당히 어려우며 이미 2주가 지난 상태이기 때문에 핀으로 고정을 한다 하더라도 완전히 밀착이 되지 않을 수 있어 골유합에 도움이 되지 않을수도 있습니다.
그렇기 때문에 의사에 따라 판단이 다를 수도 있겠지만 조금더 기다려 보신 후 추후 통증을 유발하는 상황이라면 제거술을 병행하시는 선택을 할 것 같습니다.
감사합니다.
장도연이 추천하는 아하!
앱으로 편리하게 사용해 보세요.