사랑니 뽑았는데 옆에옆 어금니 건들면 시큰해요
어제 오른쪽 사랑니 아래 위로 두개 뽑았습니다.
치통이 있어서 사랑니가 나서 아픈건가 싶어서 뽑았는데요
사랑니 뽑고 아픈건 많이 나아졌습니다.
근데 위 쪽 사랑니 옆에 옆의 신경치료 안하고 크라운한 어금니가 툭툭 건드릴때 시큰하네요.
또 사랑니 뽑기 전에 차가운 물을 마실때 살짝 시렸는데 이 증상도 없어지구요.
사랑니 때문에 옆에 옆에 있는 어금니도 영향을 줄 수 있나요?
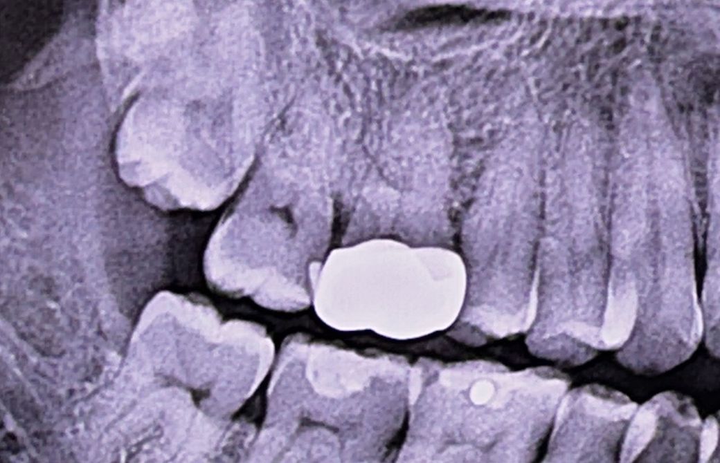
CT 사진 첨부해봅니다
안녕하세요. 김철진 치과의사입니다.
크라운을한 치아 안쪽에 충치가 생겨서 그럴수도 잇으니 계속해서 불편하시면 신경치료를 하셔야될수도 있습니다.
1명 평가안녕하세요. 송준범 치과의사입니다.
CT상으로 볼쪽 뼈가 녹아보이기는 하지만 한 단면의 한 컷 만으로 확정짓기는 어렵습니다.
보통 사랑니를 발치하고나면 염증반응이 일어나고 치유가 되면서 주변에 신경이 예민해지는 경우가 있기도 하고 발치하면서 주변 치아에 힘이 가해져 한동안 시큰하고 불편할 수 있습니다.
발치한지 1일밖에 안되셨다면 우선 조금 더 지켜보셔도 괜찮습니다.
1명 평가안녕하세요. 김지훈 치과의사입니다.
사랑니 때문에 옆에 옆에 있는 어금니도 영향을 줄 수 있으며 며칠정도는 지켜보시는 게 좋겠습니다.
1명 평가안녕하세요. 최석민 치과의사입니다.
사랑니 발치가 크게 영향을 주었을 것 같진 않습니다. 다만, 첫번째 엑스레이 사진 상 크라운 하방 이차충치가 약간 의심되긴 합니다. 별개의 문제로 봐야할 것 같습니다.
1명 평가안녕하세요. 안상우 치과의사입니다.
사랑니를 발치하게 되면 해당부위에 상처가 있기 때문에 인접치아가 불편할수 있습니다. 이런 경우 상처가 아물기 전까지 해당치아에 강한 힘이 작용하지 않도록 하는것이 좋습니다.
대부분 발치한 부위가 아물게 되면 해당증상이 줄어들게 됩니다.

