아하
  • 토픽

  • 스파링

  • 잉크

  • 미션


의료상담

아직도정확한너구리

아직도정확한너구리

술 한두잔 마시니 치통이 있습니다ㅠㅠ

안녕하세요

어제 회식으로 간단히 소주 2-3잔마셨습니다.

마시고나니 갑자기 앞니에 말도못할정도로 욱신거림과 어떤치아가 아픈건지 헷갈릴정도의 통증이 있었는데 너무 신경쓰이다보니 손가락으로 아픈 치아를 두들기니 신기할정도로 통증이 사라졌습니다.

통증이 사라져도 이런 증상은 처음이다보니

다음날 일어나서 오늘 치과에 바로 방문했고,

치근단사진과 아이스검진,치아를 두들겨보는 검진을 했는데 딱히 문제될건 없었습니다 ㅠㅠ

혹시 다른 원인이 있을까요? 뿌리염증이 있진않을까요?

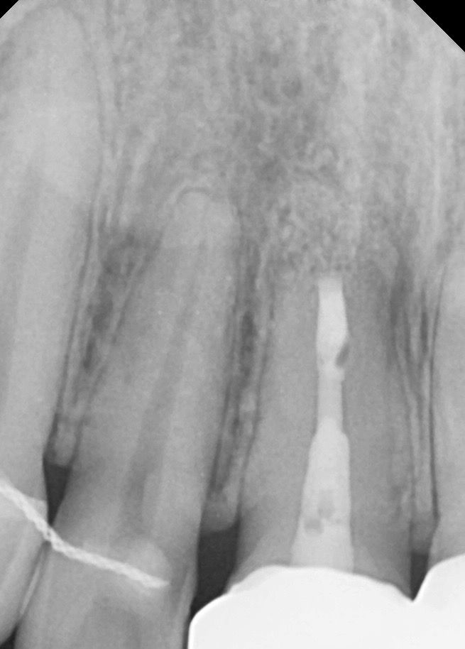
혹시몰라 치근단사진 올려둡니다 !

  • 1번 째 사진

2개의 답변이 있어요!

  • 김철진 치과의사

    김철진 치과의사

    가까운우리치과

    안녕하세요. 김철진 치과의사입니다.

    엑스레이 상으로는 염증이 보이진 않습니다. 일시적으로 치아가 예민해져서 그럴수 있습니다.

  • 안녕하세요. 최석민 치과의사입니다.

    엑스레이 사진상 별 문제는 없어보입니다 일시적인 현상같습니다

    치근단절제술 직후 또는 교정후에는 약간 민감한 반응이나 통증이 있을 순 있으나 최근이 아니라면 별 연관 없습니다