반려동물
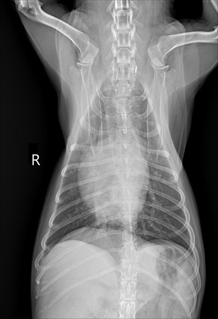
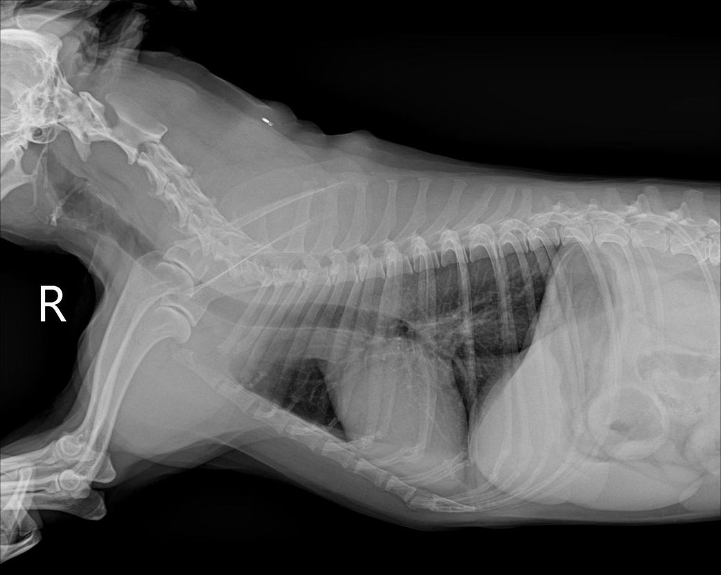
강아지 간크기가 작은건지 봐주세요!!
반려동물 종류
강아지
품종
믹스
성별
암컷
나이 (개월)
15
몸무게 (kg)
9
중성화 수술
1회
강아지 간크기가 작은건지 봐주세요!!
간크기 작다고 하는데 어디를봐야 작은걸 알수있을까요?? 정말 간이 작은 편인건도 궁금합니다!!
믹스(중성화o), 몸무게9.3kg 입니다
1개의 답변이 있어요!
반려동물
반려동물 종류
강아지
품종
믹스
성별
암컷
나이 (개월)
15
몸무게 (kg)
9
중성화 수술
1회
강아지 간크기가 작은건지 봐주세요!!
간크기 작다고 하는데 어디를봐야 작은걸 알수있을까요?? 정말 간이 작은 편인건도 궁금합니다!!
믹스(중성화o), 몸무게9.3kg 입니다
1개의 답변이 있어요!