아하
  • 토픽

  • 스파링

  • 잉크

  • 미션


인일시지분 면백일지우

인일시지분 면백일지우

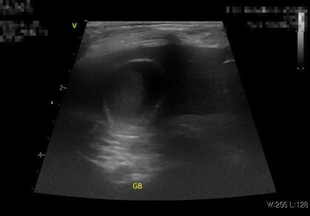
췌장염 때문인지 담낭 때문인지 비명을 지르는데요.. 낫게 할수있는 방법이 없을까요? 애가 안절부절 못하면서 난생처음들어보는 비명을 지르는데 치

반려동물 종류

강아지

췌장염 때문인지 담낭 때문인지 비명을 지르는데요.. 낫게 할수있는 방법이 없을까요?

애가 안절부절 못하면서 난생처음들어보는 비명을 지르는데

치료약은 없는걸까요? 낫게할수있는 방법이 없을까요?

병원만 3-4곳을 다녀와도 나아지긴커녕 오히려 증상들만 더 추가되고 악화만 되고있습니다

혀를 낼름낼름 소처럼 입맛을 다시는 오심 증상과 기지개 켜는 횟수가 점점 많아지고 복명음은 날이 갈수록 커져만 갑니다

담낭도 어떤 수의사분은 괜찮다하고 어떤 수의사분은 중증도라고 그러고

어떤분은 우루사+르와콜 먹이라고하고 어떤분은 우루사 먹이라고하고

어떤분은 담낭의 찐득임을 알수없기 때문에 우루사 복용시 막힐수가 있어서 보호자 선택사항이라하고

또 췌장 같은 경우는 어떤 수의사분은 급성이라하고 어떤분은 만성이라고하고 어떤분은 만성의급성화라고어느분은 췌장염이 아니라고하는분도 있고 다 달라서 진심으로 무슨 장단에 맞춰야할지를 모르겠고

누구 말을 따라야 증상이 호전이 될수가 있는건지 감도 안옵니다. 작년 11월부터 병원만 3-4곳 다녔는데 나아질 기미가 안보이네요

또 새로운 병원 가려고 알아보는중인데 이것을 끝으로 여기도 안되면 이제는 정말 포기하려합니다.

아직 답변이 없어요.