의료상담
보존치료로 통증을버티고있는데 잘하고있나요?
성별
여성
나이대
63
기저질환
허리디스크 추간판탈출증.전방전위증
복용중인 약
근이완제.소염제.위장약
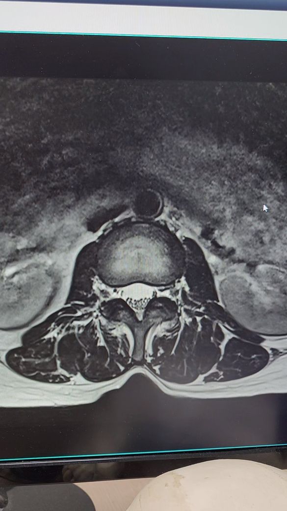
4월5일 척추,4.5번
추간판탈출증과 전방전위증으로 왼쪽 엉치부분과 사타구니 허벅지 뒷쪽 방사통과 다리저림이 심해요.처음엔 걷지도 못하고 한달반정도 물리치료,도수치료.약물치료하다가 좋아지질않아서
스테로이드주사4번 맞고 약처방받아서 먹고있는데 통증이 줄었다 심했다 해요. ㅈㅅㄱ교수님동영상보며 걷기도 한시간씩 참아가며 보존치료로 버티고있는데 나날이 통증변덕이심해요. 파행거리가 10분정도.때로는 20분도 괜찮아 지기도하는데 일관성이없어요. 한방 약침치료도 한달해 봤는데 통증이 호전되지않아요. 이럴때 도수치료나 교정치료가 도움이 될까요?
아니면 수술을 해야될까요? 지방에서 살다보니 병원정보도 모르고 답답한 나날입니다
55글자 더 채워주세요.
1개의 답변이 있어요!
안녕하세요.
최근에는 디스크, 즉 추간판탈출증은 비수술적 치료를 유지하는 것이 유행이지만
반복적인 시술에도 호전이 없고 통증이 지속되는 경우에는 수술을 고민하는 것이 더
효과적일 수 있습니다. 수술 후에도 재발은 가능하지만 수술 후 재활과 관리를 통해
이전보다 통증이 덜할 수 있는 것이 사실입니다.

