의료상담
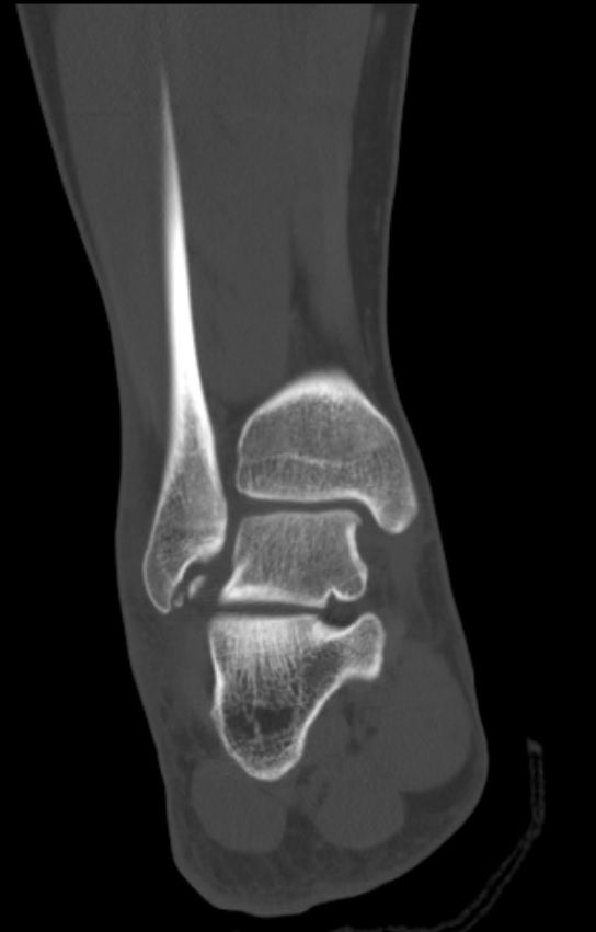
발목골절의 정도 수술할 정도는 아닌거죠??
성별
남성
나이대
31
제목대로 궁금합니다 일단 통깁스하고 경과보자고 하셨는데요 이정도면 통깁스만으로도 해결 가능한정도 맞죠?? 수술할정도 아니지요??
55글자 더 채워주세요.
2개의 답변이 있어요!
안녕하세요. 이영민 의사입니다.
우선 골절 정도가 뼈의 단층이 완전히 어그러진 정도로 보이진 않으나 절단면이 선명하게 보이는 정도여서 충분한 안정 후에 경과관찰 하시는 것이 좋겠습니다.
감사합니다.
해당 CT 사진 한 컷만 놓고 이렇다 저렇다 구체적으로 판단 할 수 없습니다. 다만 해당 컷만 보았을 대에는 수술적 치료까지 필요할 정도의 골절이 보이지 않습니다.

