아핫뉴스실시간 인기검색어
아핫뉴스 화산 이미지
아하

의료상담

치과

향기로운집게벌레199
향기로운집게벌레199

이정도로 상한 치아는 임플란트 해야되나요?

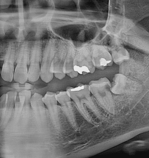
왼쪽 아래 사랑니가 맨 끝 어금니에 충치를 전이시킨 상태라고 하는데요 발치 후 임플란트를 추천하시더라구요

전문병원가서 왼쪽 사랑니를 다 빼긴했는데

엑스레이상으로 봤을때 임플란트 할 정도로 심각한 상태인건가요?

  • 1번 째 사진
55글자 더 채워주세요.
4개의 답변이 있어요!
  • 사랑니로 인해서 앞치에 충치가 많이 생긴 것으로 보입니다. 하지만 앞의 치아에 뿌리는 건강하게 잘 남아 있기 때문에 발치를 한다기보다도 치료를 해서 사용하는 것이 좋습니다. 자세한 확인을 위해서 치과에서 진료를 받아보는 것을 권유드립니다

  • 안녕하세요 치과의사 정경호입니다.

    충치가 깊어 신경치료 및 크라운이 필요한 상황입니다. 발치 후 임플란트 시도하기 전에 치아를 보존해보기를 원하신다면 치과대학병원 치과보존과에 내원하여 상담받아 보세요.

  • 왼쪽 사랑니를 빼면서 그 옆 어금니에 약간의 손상등 영향을 주었을 가능성도 있습니다

    다만 충치자체 양상을 보면 신경치료 후 크라운씌워 살릴 수 있을정도입니다 바로 발치를 해야하는 상황은 아닐것 같습니다

  • 사진이 파노라마라서 명확한 진단은 어렵습니다만 굳이 바로 빼기보다는 신경치료 및 크라운 치료를 통해서 한번 살려볼 수 있어보입니다.

PC용 아하 앱 설치 권유 팝업 이미지장도연이 추천하는 아하! 앱으로 편리하게 사용해 보세요.
starbucks
앱 설치하고 미션 완료하면 커피 기프티콘을 드려요!