홈
토픽
스파링
잉크
미션
전문가 신청
베리몰
나도 질문하기
의료상담
진심생생한석류
사랑니만 뽑을 순 없는걸까요..?
어금니 신경치료+크라운도 꼭 같이해야 하는건지..
기존에 치료했던 이라.. 혹시나 전문가 소견은 어떠신지 궁금해서 여쭤봅니다
사진 보기
3개의 답변이 있어요!
최석민 치과의사
강원도 원주의료원
∙
안녕하세요. 최석민 치과의사입니다.
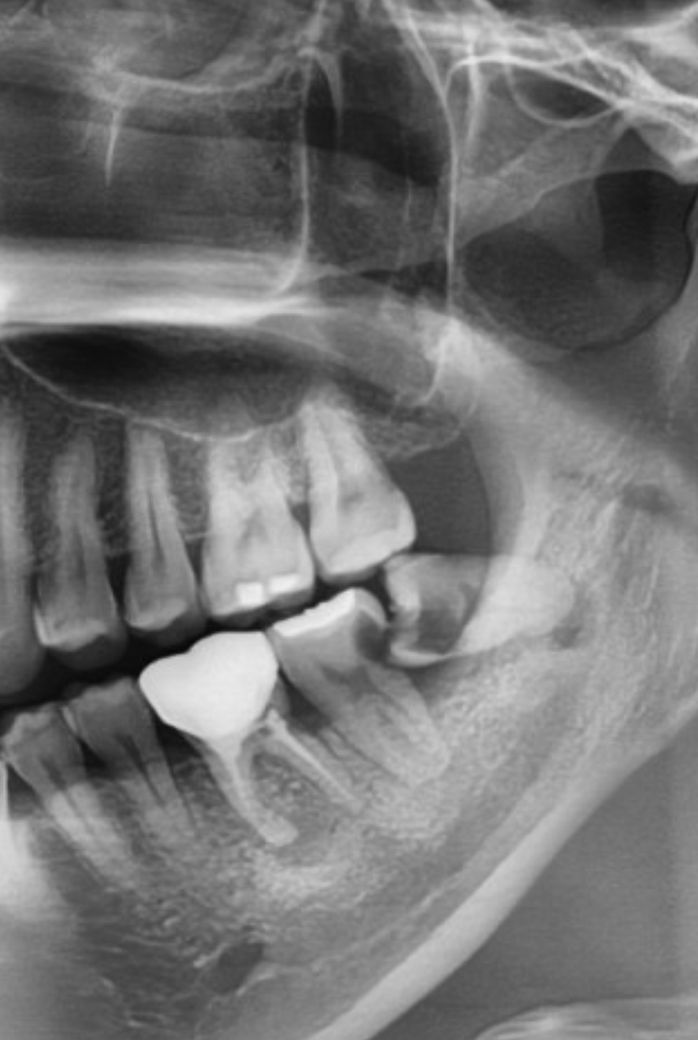
엑스레이상 저정도로 보이는 충치면 사랑니 앞 어금니도 발치를 고려해야 할 정도로 큽니다.
일단은 사랑니 발치 후 신경치료하고 크라운으로 계획은 세우지만 신경치료자체도 쉽지 않은 치아이기에 아마 발치하고 임플란트 심자고 하는 치과가 대부분일 것 같습니다.
평가
응원하기
정진석 치과의사
대학병원 통합치의학전문의
안녕하세요. 정진석 치과의사입니다.
현재 상태에서는 충치가 매우 심해서 사랑니 발치 이후에 반드시 치료를 해야 합니다. 다만 치료 자체가 쉽지 않으며 현재 상태에서는 치아 발치도 고려해야 합니다. 상태를 보았을 때 충치가 뿌리 아래 부분까지 많이 내려가 있으며 이러한 경우에 치료 자체가 굉장히 어렵고 치료가 잘되더라도 얼마가지 못해 탈이나서 문제가 되는 경우가 많습니다. 현재로서는 치료하지 않을 수 없으며 발치까지 고려해서 치료를 진행해야 합니다.
전택근 치과의사
국민건강보험공단 일산병원
안녕하세요. 전택근 구강악안면외과 치과의사입니다.
빨리 사랑니 발치하시고 치료받으셔야합니다. 어금니도 방치시에는 발치해야하는 상황이며 지금도 우식 상당히 심한 상황입니다. 미루지마시고 빨리 진행하시기를 권유드립니다.
감사합니다.