아하
  • 토픽

  • 스파링

  • 잉크

  • 미션


의료상담

레리이리

레리이리

25.05.24

턱관절때문에 한쪽으로 휘어있으면 치아교정해도 어금니+턱+입술+안면 비대칭 그대로인가요?

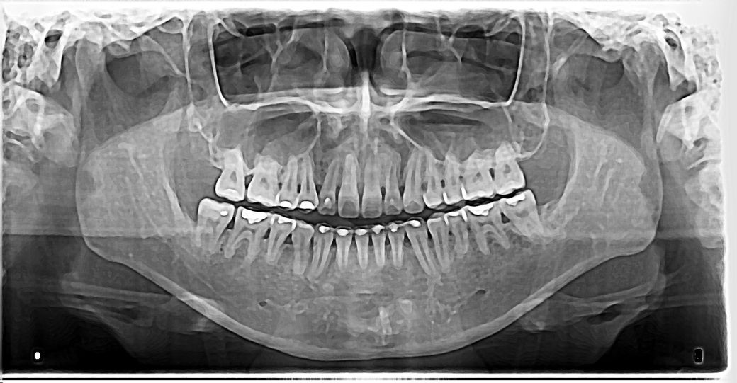
안녕하세요. 1번째 사진은 20살 첫교정 전에 장치만 달은 엑스레이구요. 오른쪽 윗 송곳니 어릴때 빼서, 저때도 비대칭으로 살짝 턱이 왼쪽으로 틀어져있었어요.

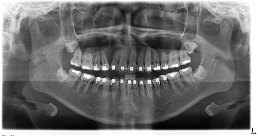
2번째 사진은 첫번째 치아교정 중단하고 찍은 엑스레이입니다. 이때도 턱 왼쪽으로 좀 휘어졌고 왼쪽 턱관절 통증+ 오른쪽 턱관절 뭔가 빠진느낌+ 안면비대칭이 더 심해보이고 입술도 왼쪽 올라가고 오른쪽 내려감.

그리고 재교정 치아교정 받았고 밑에사진 오른쪽위 송곳니 자이 한칸씩 당겨서 교정했고 왼쪽 교합점이 높고 오른쪽이 낮은느낌.

R\----\L 윗니들

R\----\L 아랫니들

위 아래 어금니교합이 왼쪽으로 휜 이런느낌이에요.

이거 턱이 비대칭이라 이런건가요?

** 제 질문은 턱관절과 턱길이 비대칭때문에 치아교정해도 교합 이렇게 비대칭 되는게 한계인가요?

R\----\L 윗니들

R\----\L 아랫니들

**위에 악궁 확장을 했으면 아래턱이랑 턱관절+입술 비대칭 고쳐졌을까요??

시간내주셔서 감사합니다!

  • 1번 째 사진
  • 2번 째 사진
  • 3번 째 사진
  • 4번 째 사진

2개의 답변이 있어요!

  • 김철진 치과의사

    김철진 치과의사

    가까운우리치과

    25.05.25

    안녕하세요. 김철진 치과의사입니다.

    성인이시라면 악궁확장은 안되고 성장이 끝나지 않는상태라면 가능합니다. 턱관절로 인한 비대칭은 교정으로 해결하는건 어렵다고 생각됩니다.

  • 안녕하세요. 안상우 치과의사입니다.

    골격적인 원인으로 인해서 턱이 비대칭으로 위치해 있다면 교정을 한다고 해도 비대칭이 해결되지 않을 수 있습니다. 이런 경우에는 수술을 동반한 교정 치료가 필요할 수 있습니다.

    자세한 확인을 위해서 치과에서 진료를 받아보는 것을 권유드립니다.