아하
  • 토픽

  • 스파링

  • 잉크

  • 미션


의료상담

디즈니랜드

디즈니랜드

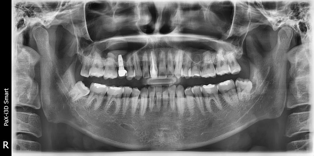
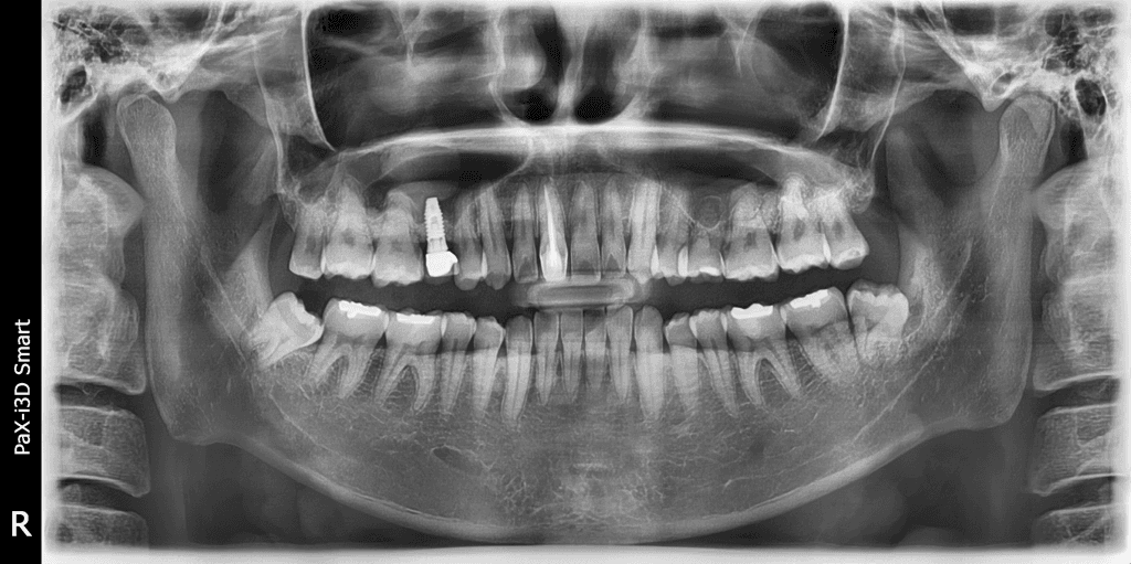
유치로 인해 임플란트 한 후 10여년이 지났는데요

30대.중반 남자 입니다.

임플란트 한 부위쪽 잇몸만 유난히 튀어나와있는데요


유치로 인해 임플란트 한 경우 이런 증상이 흔한가요?


이유가 멀까요?


그리고 부분 치야교정 하는데 있어서는


문제가 없을까요?



  • 1번 째 사진

3개의 답변이 있어요!

  • 김지훈 치과의사

    김지훈 치과의사

    메가

    안녕하세요. 김지훈 치과의사입니다.

    뼈 모양에 따라 임플란트가 튀어나와 보일 수 있으며 임플란트 했어도 교정치료는 가능합니다.

  • 안녕하세요. 김철진 치과의사입니다.

    유치로 인한 임플란트는 영구치가 선천적으로 결손 상태라 유치를 최대한 오래 쓰다가 임플란트를 하는경우가 꽤 있습니다.

  • 안녕하세요. 송우식 치과의사입니다.

    임플란트 치아가 있는 경우 치아의 움직임에 제한이 있기에 치아교정이 어려울수 있습니다.

    궁금증 해소에 도움이 되시길 바라며, 도움이 되신 경우 '추천' 부탁드립니다.