아하
  • 토픽

  • 스파링

  • 잉크

  • 미션


의료상담

그래도유순한음악가

그래도유순한음악가

치과 충치진단 사이충치 사진판단부탁드립니다

충치 진단

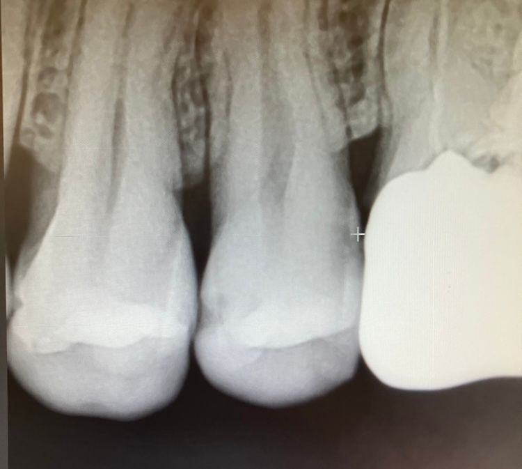
치과에서 송곳니 사이가 썩어서 치료급히 해야한다고 크라운 레인 인레이 고르라고 하더라구요 사이라서 2개를 한꺼번에 해야해서 비용이 2배가 된다고 하는데ㅡ 신경치료는 파봐야 안다고 합니다 어느정도로 심각하게 썩은건지요? 꼭 치료가 필요한건지요

  • 1번 째 사진

3개의 답변이 있어요!

  • 김지훈 치과의사

    김지훈 치과의사

    메가

    안녕하세요. 김지훈 치과의사입니다.

    치료는 필요한 상태이지만 크라운을 할 지 인레이로 마무리 될지는 치료를 해봐야 하며 인레이 가능성이 높습니다

  • 안녕하세요. 최석민 치과의사입니다.

    1. 엑스레이 사진은 송곳니가 아니고 작은 어금니로 보입니다

    2. 옆면 충치가 있어보이긴하나 아주 깊진 않습니다

  • 안녕하세요. 김철진 치과의사입니다.

    치아 사이에 충치가 있는거 같습니다. 인레이 치료를 할꺼 같고 신경치료는 충치를 제거해봐야 알수 잇을것같긴합니다. 치료 하시는게 좋을것같습니다.