홈
토픽
스파링
잉크
미션
전문가 신청
베리몰
나도 질문하기
의료상담
보랏빛퓨마169
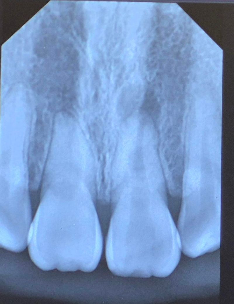
얼마전 치아를 세게 부딪혀서 병원에 갔더니 신경이 손상 됐다고 하셨습니다. 사진상으로 봤을 때 어떤상태인지 설명해주시면 감사하겠습니다.
사진 보기
2개의 답변이 있어요!
장인아 치과위생사
미소인치과
∙
안녕하세요. 장인아 치과위생사입니다.
본인 기준 왼쪽의 치아 끝에 검게 보이는게 염증으로 보여지고 신경치료가 필요한것으로 보입니다. 빠른 회복바라겠습니다. 건강하세요.
평가
응원하기
최석민 치과의사
치과의원
안녕하세요. 최석민 치과의사입니다.
오른쪽 위 앞니의 뿌리 끝 염증이 잡혀있는게 보입니다 저건 꼭 외상 때문이었다기보단 예전부터 치근단염증이 잡혀있었을것 같습니다 단기간내에 생기진 않아요