홈
토픽
스파링
잉크
미션
전문가 신청
베리몰
나도 질문하기
의료상담
아직도정확한너구리
안녕하세요 작년 이맘때쯤
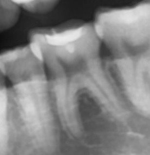
어금니 인레이 치료를 받았습니다 (아래 왼쪽 뒤에서 두번째 어금니)
1년동안 탈없이 잘 사용했는데 며칠전부터 자꾸 치아가 시립니다 가만히 있을때에도 은은하게 시리고 식사할때도 은은하게 시리는데 막 아프다 정도는 아닙니다
다만 잘못되었을까 걱정되네요 치아가 시리기전에 치과 검진을 갔었는데 (3주전) 그때는 별말씀 없으셨습니다.. 왜 시린건가요?.. 충치가생긴걸까요 아니면 인레이 틈이생긴걸까요?
사진 보기
1개의 답변이 있어요!
최석민 치과의사
강원도 원주의료원
∙
안녕하세요. 최석민 치과의사입니다.
컨디션이 안좋으면 며칠 일시적으로 그럴순 있습니다 일단 지켜보시고 증상이 심해지면 다시 치과 가보세요 지금 사진상으론 별다른 문제가 보이진 않습니다
평가
응원하기