아핫뉴스실시간 인기검색어
아핫뉴스 화산 이미지
아하

의료상담

이비인후과

ㅇ익명ㅇ
ㅇ익명ㅇ

귀안에 뾰루지 같은 게 났어요

성별
여성
나이대
50

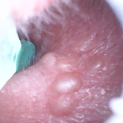
사진 첨부할게요

귀안에 뾰루지 같은 게 여러 개 다다닥 나있는데 무엇일까요? 자세히 알려 주시면 감사할 것 같습니다 물렁하고 아픈 느낌은 딱히 없습니다



  • 1번 째 사진
55글자 더 채워주세요.
1개의 답변이 있어요!
  • 안녕하세요. 김경태 의사입니다.

    사진상으로는 정확히모르겠습니다

    물집병변 같아 보이기도 하고..

    가까운 이비인후과 방문하십시오.

PC용 아하 앱 설치 권유 팝업 이미지장도연이 추천하는 아하! 앱으로 편리하게 사용해 보세요.
starbucks
앱 설치하고 미션 완료하면 커피 기프티콘을 드려요!