아하
  • 토픽

  • 스파링

  • 잉크

  • 미션


의료상담

내일도두근대는연어회

내일도두근대는연어회

견봉쇄골관절 문의드립니다. 수술해야 하나요?

성별

남성

나이대

30대

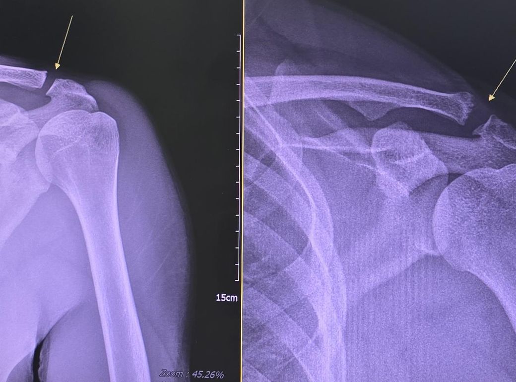
왼쪽 사진이 18년도에 찍은 사진입니다

정상일 때 사진이고요.

다행히도 자료가 있었네요.

오른쪽 사진이 최근 사진입니다

통증이 있어서 병원을 가서 촬영을 했는데

모양이 달라졌습니다.

수술하지 않고 예전 사진처럼 회복이 가능한가요?

아니면 지금이라도 빨리 수술하는게 좋은 선택일까요?

운동할 때 통증을 느낍니다

가벼운 무게로 하면 괜찮아요.

일상 생활에 큰 불편함은 없습니다.

  • 1번 째 사진

아직 답변이 없어요.