이갈이 치아 마모 및 충치 크라운치료 필요 여부
안녕하세요,
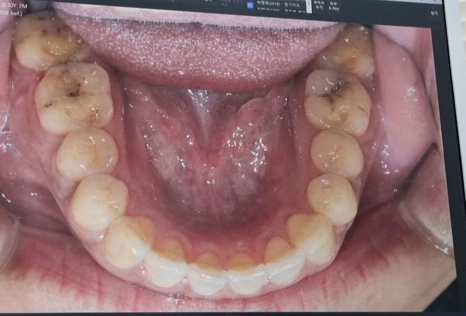
얼마 전 A치과 방문하여 위아래 어금니 7개 크라운 소견 받았습니다.
충치 및 이갈이로 인한 치아 파절 마모입니다.
(통증은 전혀 없습니다.)
진료 시작하여 신경치료는 하지 않고 오른쪽 치아 4개 크라운 완료한 상태에서,
혹시 몰라 주변 다른 B치과 방문하였고,
그 곳에서 남은 왼쪽 치아 3개는 가능하면 레진과 인레이로 해볼 수도 있다는 소견 받았습니다.
아직 30대 초반이라 남은 치
아라도 최대한 살리는 방향으로 진행하고 싶습니다.
스플린트는 곧 제작하여 오래 착용할 예정입니다.
1. 아직 크라운 진행하지 않은 왼쪽 어금니 3개는 인레이 또는 레진으로 진행해도 가능할까요?
2. 스플린트를 앞으로 오래 착용하여 치아에 손상 가지 않도록 할 예정인데, 이럴 경우에도 현재 아무런 통증이 없는 상태에서 단지 치아 교모 마모가 심하다는 이유만으로 크라운을 진행하는 게 맞을까요?
3. 이미 크라운을 진행한 오른쪽 어금니 4개는 과연 크라운 치료가 적절한 최선의 선택이었을까요?(치아를 최대한 보존해서 하는 것이 좋다는 생각입니다.)
4. 이미 진행한 오른쪽 어금니 크라운 4개는 신경치료 없이 크라운 씌웠습니다. 매 7~8년 마다 크라운 교체해준다면, 추후 정말 발치하는 임플란트까지는 안 가도 될까요..?
치아 사진 첨부하였습니다.
선생님들이시라면 이 경우 어떤 진료를 들어가실지 정도만 말씀해주셔도 감사드리겠습니다.
안녕하세요. 김철진 치과의사입니다.
1. 아직 크라운 진행하지 않은 왼쪽 어금니 3개는 인레이 또는 레진으로 진행해도 가능할까요?
-사실이부분은 치과의사마다 치료방법이다르기 때문에 정확히 뭐가 옳다고 말씀드리기 어렵지만 저라면 일단 인레이를 해볼것같습니다.
2. 스플린트를 앞으로 오래 착용하여 치아에 손상 가지 않도록 할 예정인데, 이럴 경우에도 현재 아무런 통증이 없는 상태에서 단지 치아 교모 마모가 심하다는 이유만으로 크라운을 진행하는 게 맞을까요?
-치아가 자연스럽게 마모된경우에는 크라운을 안하셔도 되지만, 치아가 많이 깨졋거나 시리다면 크라운치료를 하시는게 좋습니다.
3. 이미 크라운을 진행한 오른쪽 어금니 4개는 과연 크라운 치료가 적절한 최선의 선택이었을까요?(치아를 최대한 보존해서 하는 것이 좋다는 생각입니다.)
-이부분도 뭐라고 말씀드리가가 조심스럽습니다. 증상이 나타나면 하자는 치과선생님도 잇지만 미리 하자고 하는 선생님도 있으니깐요.
4. 이미 진행한 오른쪽 어금니 크라운 4개는 신경치료 없이 크라운 씌웠습니다. 매 7~8년 마다 크라운 교체해준다면, 추후 정말 발치하는 임플란트까지는 안 가도 될까요..?
-수명이 보통 그정도 되지만 관리가 잘되신다면 더 오래 사용하셔도 크게 문제가 없습니다.

