의료상담
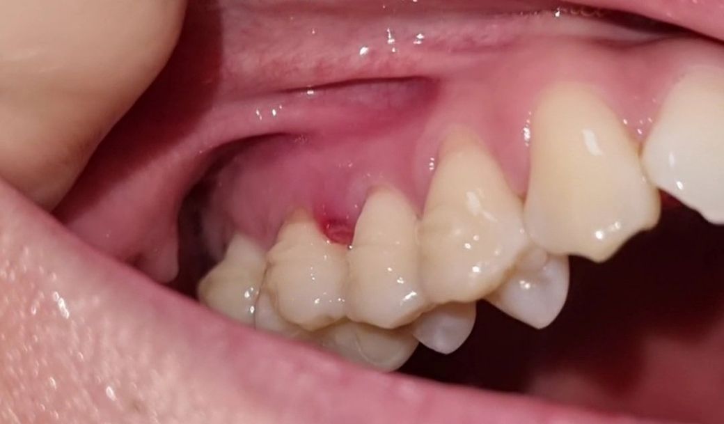
잇몸이 붓고 빨개지고 아파요(치간칫솔)
치아 사이가 좁은 곳인데 이물질이 많이 끼는 곳이라
원래 치실 쓰다가 치간칫솔로 해보다 철사 부분에 잇몸이 찔려
아프고 부었습니다ㅜㅜ 간단한 치료로 나을 수 있나요?
내일 치과 방문 예정입니다....
55글자 더 채워주세요.
2개의 답변이 있어요!
안녕하세요. 안중구 의사입니다.
일반적으로는 구강내에 상재균이 많지만 잇몸의 염증이 심하지 않을 경우 항생제 복용 없이도 자연치유되는 경우가 많습니다. 다만 해당 부위의 부종과 발적 통증이 지속되는 경우에는 항생제 복용이 도움이 될 것으로 사료됩니다.
치간칫솔의 철사 부위에 잇몸 부위가 질리면서 상처가 발생하신 상태이군요. 다행히 점만 세포는 재생이 빠르고 회복이 빠르기 때문에 특별한 치료 없이 간단한 약물 복용을 통해서 호전될 수 있을 것으로 사료됩니다.

