아하
  • 토픽

  • 스파링

  • 잉크

  • 미션


의료상담

고요한오솔개234

고요한오솔개234

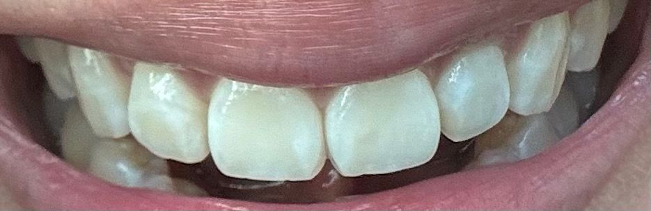
치아 마모나 치아 부식이 있거나 심해보이나요?

산성 있는 음식을 많이 먹기도 하고 역류성 식도염이 있어서 치아 마모나 부식이 걱정 돼요.. 옛날보다 치아 끝이 좀 뾰족해진 것 같기도 하고 라미네이트나 치료가 필요해보이나요?

  • 1번 째 사진

2개의 답변이 있어요!

  • 김철진 치과의사

    김철진 치과의사

    가까운우리치과

    안녕하세요. 김철진 치과의사입니다.

    마모는 많이 된거 같지 않지만, 치아의 표면에 탈회된곳이 있어 보입니다. 치료는 아직 필요 하지 않겟지만 관리를 잘하시는게 좋을것같습니다.

  • 안녕하세요. 최석민 치과의사입니다.

    사진상 치아 부식은 있어보입니다 다만 라미네이트를 하게될 경우의 부작용이나 불편한점도 생각해보셔야하고, 역류성 식도염에 대한 근본적인 문제해결도 필요해보입니다