아핫뉴스실시간 인기검색어
아핫뉴스 화산 이미지
아하

의료상담

치과

종종푸근한단풍나무
종종푸근한단풍나무

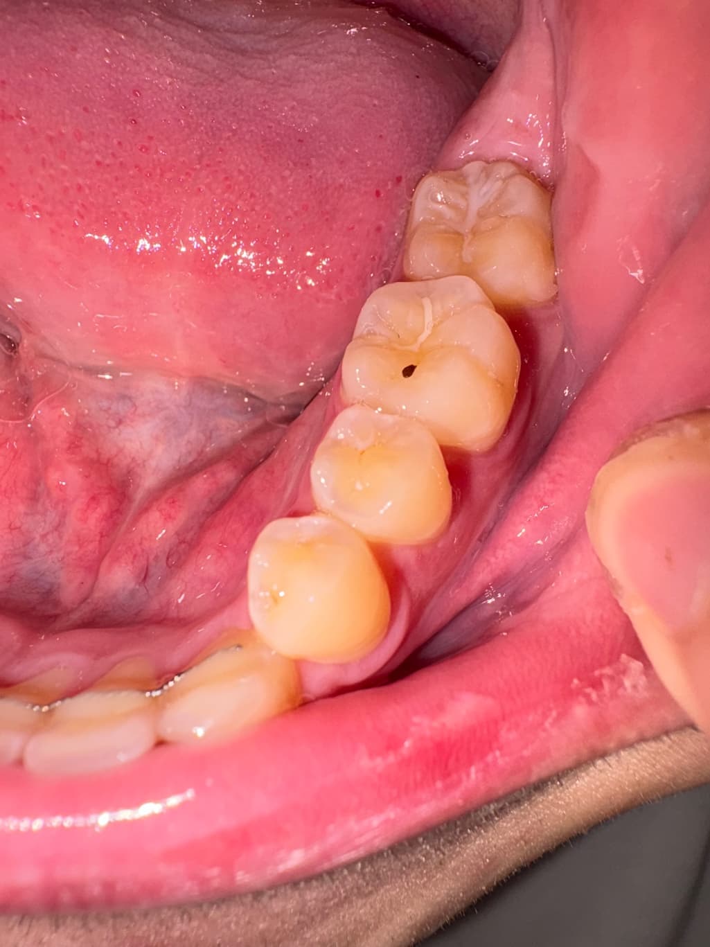
어금니 검은점 이 생겼는데 이거 충치일까요

포도먹다가 이물감이라 해야할지 뭔가 이상해서 봤더니 검은점이 생겼는데

저거 충치일까요 아니면 그냥 이물질인가요

통증은 전혀없습니다

  • 1번 째 사진
55글자 더 채워주세요.
4개의 답변이 있어요!
  • 안녕하세요. 김지훈 치과의사입니다.

    위 사진만으로는 명확히 알 수는 없으나 색상으로 봤을 때엔 충치보단 이물질인 것 같습니다.

  • 안녕하세요. 김철진 치과의사입니다.

    사진상으로는 예전에 치료햇던곳이 파이면서 음식물이 낀게 아닐까 생각됩니다. 일단 제거를 해보시고 제거가 안되면 치과에 가셔서 검진을 받아보시는게 좋을것같습니다.

  • 안녕하세요. 안상우 치과의사입니다.

    충치일수도 있지만 단순한 착색 일수도 있습니다 충치라면 치료를 해주는것이 좋으며 착색이라면 간단하게 치과에서 제거할수 있습니다.

    자세한 확인을 위해서 치과에서 진료를 받아보는 것을 권유드립니다.

  • 안녕하세요. 최석민 치과의사입니다.

    사진상 봤을때 충치의 양상으로 보이진 않고요 음식물이 낀것 같습니다 잘 빼주시기 바랍니다

PC용 아하 앱 설치 권유 팝업 이미지장도연이 추천하는 아하! 앱으로 편리하게 사용해 보세요.
starbucks
앱 설치하고 미션 완료하면 커피 기프티콘을 드려요!