아하
  • 토픽

  • 스파링

  • 잉크

  • 미션


의료상담

햄찌썬더

햄찌썬더

25.06.08

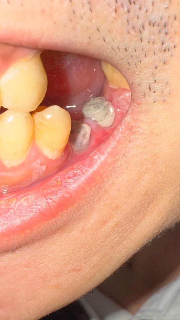
임플란트 힐링어버트먼트 경과봐주세요

'25.06.02 14:00경 임플란트 2차수술 진행 후 집으로 복귀했으나 출혈이 안멈춰서 19:00시경 지혈과 한땀정도 봉합 후 현재일까지 본뜨기 대기중입니다만

힐링어버트먼트가 잘 식립 되었는지 그리고 어벗 주위로 보이는 흰색찌꺼기들이 떼어내야하는건지 냅둬야하는건지 궁금합니다

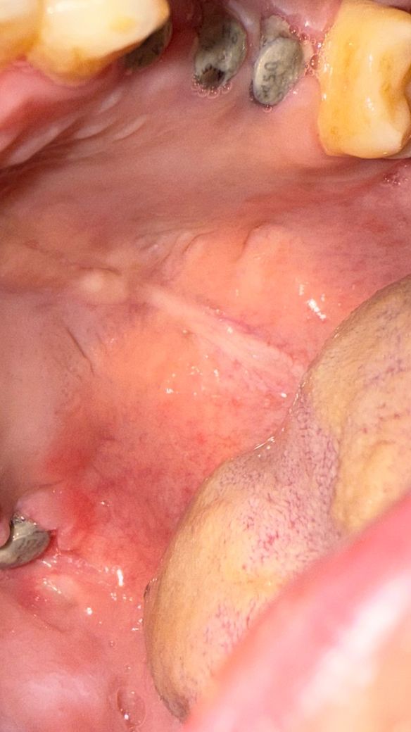
  • 1번 째 사진
  • 2번 째 사진
  • 3번 째 사진
  • 4번 째 사진

3개의 답변이 있어요!

  • 안상우 치과의사

    안상우 치과의사

    목동안치과의원

    25.06.10

    안녕하세요. 안상우 치과의사입니다.

    사진으로 봤을 경우에는 임플란트는 잘 식립된것으로 보입니다. 어버트먼트 표면에 있는 이물질은 음식물로 인해서 생기는 것으로 칫솔을 이용해서 부드럽게 제거를 해주는 것이 좋습니다 .

  • 안녕하세요. 김철진 치과의사입니다.

    힐링주변으로 양치가 안되서 생긴 현상입니다 .지혈이 되셧다면 양치를 하시면 제거가 됩니다.

  • 안녕하세요. 최석민 치과의사입니다.

    힐링어버트먼트가 잘 식립 되었는지 -> 네

    그리고 어벗 주위로 보이는 흰색찌꺼기들이 떼어내야하는건지 냅둬야하는건지 궁금합니다 -> 제거해주세요