의료상담
엄지발가락이 원래보다 안움직입니다
성별
남성
나이대
23
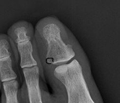
왼쪽 엄지발가락이 골절된지 3달이 좀 넘었습니다. 군인이여서 군병원에서 치료를 받았습니다 근데 왼쪽 엄지발가락을 스스로 움직여보면 움직일 수 있는 정도가 오른쪽 엄지발가락에 비해 훨씬 각도가 좁습니다. 그래서 손으로 움직여보면 다친부위에 살짝의 고통도 옵니다.. 어떻게 해야하죠 제가 군인이여서 xray는 보여드릴수 없고 제가 인터넷에서 가져온 사진에서 골절된 부분을 동그라미 친것입니다
55글자 더 채워주세요.
2개의 답변이 있어요!
안녕하세요. 아하(Aha) 의료분야 답변자 외과 전문의 배병제입니다.
군생활 중 엄지발가락 골절으로 고생중이시군요.
골절이 회복되면서 관절의 가동범위가 줄어든 상태로 보입니다. 수술받은 병원을 다시한번 방문해 문의해보는 것이 좋겠으나 외진을 가려면 시간이 걸리실 것 같네요. 급하지 않으니 시간 맞춰서 가보시기 바랍니다.
저의 답변이 도움이 되셨길 바랍니다.
안녕하세요. 강성주 의사입니다.
해당 부분의 경우 인대 등이 부착하는 부분이기 때문에 골절후유증으로 인해 운동범위의 감소가 올수는 있습니다.
그렇기 때문에 꾸준히 손으로 운동 등을 해주는 재활이 필요할 것 같습니다.
감사합니다.

