의료상담
55글자 더 채워주세요.
2개의 답변이 있어요!
안녕하세요. 송진영 물리치료사입니다.
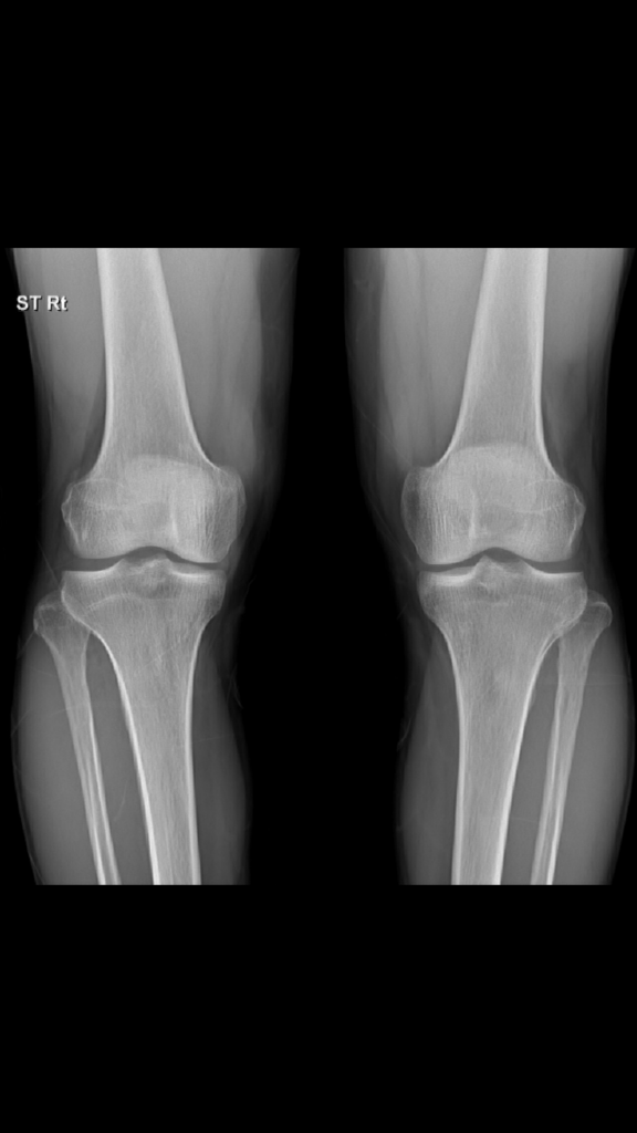
올려주신 무릎 엑스레이를 보면 뼈 구조는 비교적 정상으로 보이고 특별히 골절이나 심한 관절염 변화는 보이지 않습니다.
다만 연골이나 반월상연골 손상, 인대 문제 등은 엑스레이로는 확인이 어렵습니다. 30분 이상 걷거나 활동 후 통증이 나타나는 것은 연부조직 문제나 초기 퇴행성 변화일 가능성이 있습니다!
올리신 엑스레이 사진을 통해서 보았을 때에는 특별히 이상이 있어 보이는 소견이 따로 있어 보이지 않습니다. 관련하여서는 경과를 지켜보시거나 보다 정밀한 상태 평가를 위해서는 보다 정밀한 검사를 받아보셔야 하겠습니다.

