의료상담

재신경치료 없이 무조건 발치인가요?

어제 밤부터 예전에 신경치료하고 크라운씌운 곳이 아파서 오늘 병원에 가니까 재신경치료 안된다고 무조건 발치 후 뼈이식 한 후에 임플란트 해야한다는데 다른 방법이 없나요 정말로

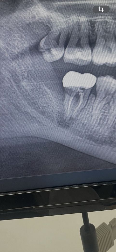
  • 1번 째 사진

3개의 답변이 있어요!

  • 안녕하세요. 최석민 치과의사입니다.

    애초에 신경치료 난이도가 높은 치아입니다. 처음 한 신경치료의 퀄리티가 나쁘지 않음에도 불구하고 이렇게 염증이 다시 잡힌 경우 재신경치료를 해도 증상이 아주 드라마틱하게 호전될 가능성이 높진 않습니다. 물론 시도해볼 순 있습니다. 재신경치료나 치근단 절제술 등의 방법은 있으나 너무 기대하진 마시기 바랍니다.

  • 안녕하세요. 정진석 치과의사입니다.

    재신경치료가 불가능한 것은 아니나 재신경치료로 인하여 다시 살릴 가능성이 크지 않습니다. 또한 재신경치료를 하기에 앞서 염증이 신경과 가깝거나 이미 닿이 있으므로 재신경치료 자체가 굉장히 어려울 수 있습니다. 지금 상태에서는 재신경치료도 맞는 치료지만 치아를 뽑고 임플란트를 해야할 정도로 치아가 안 좋은 것도 사실입니다. 만약에 재신경치료를 원한다면 대학병원 방문 후 현미경 하에서 진행해야할 가능성이 매우 높습니다.

  • 안녕하세요. 전택근 치과의사입니다.

    보존과 전문의에게 진료 한번 받아보시는것이 좋아보이며 골소실량이 큰 편이라서 재신경치료 진행하더라도 예후 불량하리라 사료됩니다. 더불어 하치조신경관과 치근단 병소 인접해있어 이와관련된 사항도 충분히 고려해서 치료 받으셔야합니다.

    감사합니다.