발치즉시 임플란트해도 크게 문제가 없는지요?
크랙때문에 신경치료하고 크라운 씌운 상태입니다.
예후가 안좋으면 발치하고 임플란트해야 한다고 하는데 맞는지요?
아울러, 발치하면서 바로 식립 가능하다고 하는데, 뼈이식은 좀 해야한다고 하던데 원래 뼈이식은 대부분 하는것이 맞는지요? 뼈이식 여부는 엑스레이만으로도 알수있다고 하던데, 뼈이식 안해도 될거 같다고 하는 병원이 더 많은데 제가 가까워서 크라운 치료받은 병원에서는 뼈이식이 필요한 것처럼 말해서요.
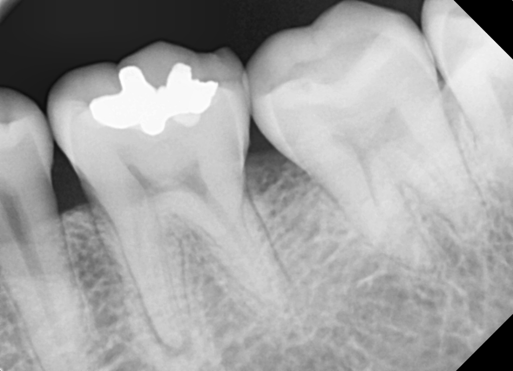
다른쪽 미세한충치도 병원 전부 다 그냥 써도 될거같다고 하는데 이곳만 인레이를 이야기하네요. 엑스레이 사진 올려봅니다. 엑스레이는 크라운씌우기 전 엑스레이입니다.
안녕하세요. 김지훈 치과의사입니다.신경치료 후 예후가 불량한 경우에는 임플란트를 해야하며 뼈이식 여부는 상태를 체크하여 결정하게 됩니다.
안녕하세요. 김철진 치과의사입니다.
엑스레이 사진상으로는 신경치료를 하고 크라운 치료를 한 치아가 보이진 않습니다. 하지만 신경치료까지 하고도 증상이 사라지지 않앗다면 올려 놓은 치아상태라면 발치 즉시 식립을 하셔도 될것같습니다.
안녕하세요. 안상우 치과의사입니다.
치아의 금이 간 부분이 치조골까지 진행되어 있으면 치료를 하고 난 다음에도 통증이 있는 경우가 있습니다.
치아의 금이 뿌리까지 진행된 경우 불편감이 없다면 사용할 수 있지만 치료를 한 뒤에도 불편감이 있다면 발치를 하는 경우가 생길 수도 있습니다.
임플란트를 하는 경우에 발치를 하고 나면 치아에 뿌리가 있던 부분이 빈 공간이 남기 때문에 골이식을 하는 경우도 있습니다.
안녕하세요. 송우식 치과의사입니다.
크랙때문에 신경치료하고 크라운 씌운 상태입니다.
예후가 안좋으면 발치하고 임플란트해야 한다고 하는데 맞는지요?
네 맞습니다.
잇몸뼈가 부족한 경우에는 발치즉시 임플란트가 어려우며 우선적으로 뼈이식이 필요로 됩니다.
궁금증 해소에 도움이 되시길 바라며, 도움이 되신 경우 '추천' 부탁드립니다.

