의료상담

파절 치근단염증? 이럴경우 살릴수있나요? 넘 아파요

치과에서 당일에 뜯고 기둥세워서 쓰자고 했는데요 ..

만져보면 뿌리쪽까지 느낌상 흔들리는데

이게 맞는건가 싶어서 유튜브 인스타 보다

제가다니던 치과에서 섬세한 진료를 받는게

힘들다는 사실을 알았습니다.

여기저기 알아볼 시간이 별로 없어요 아파요

빠른치료 받고싶은데

뽑고 임플란트가 나은건지

흔들리는데 살려서 크라운해야하는지

옆에있는 이빨도 끝쪽 금간거같은데 맞나요?

잇몸에 동그랗게 난걸 그냥 냅두라고 하는데

찾아보니 치근단염증 증상입니다.

소중한답변 기다리겠습니다.

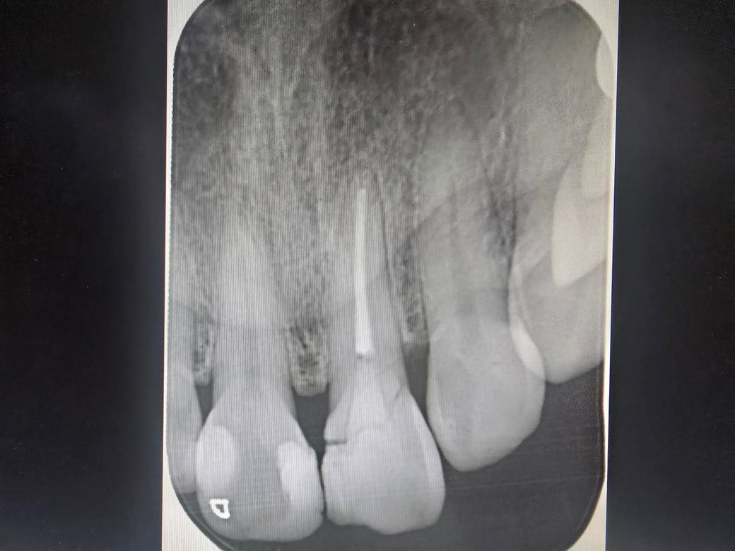
  • 1번 째 사진
  • 2번 째 사진

2개의 답변이 있어요!

  • 안녕하세요. 류동균 치과의사입니다.

    첨부해주신 사진을 보니 파절선이 굉장히 크고 명확합니다.

    파절된 치아의 경우 보통 예후불량 판정하며 근 시일 내에 치아의 생명력을 잃을 가능성이 큽니다.

    치아를 그냥 둔 채로 보철적인 치료를 하기에는 어려움이 클 것으로 보입니다.

    *) 질문자의 진술에 의존한 답변임을 밝힘.

  • 안녕하세요. 최석민 치과의사입니다.

    치아 머리 부위는 파절편 살릴 순 없을 것 같고요 위에는 분리해서 빼고 아래 남은 쪽에 기둥박고 레진코어쌓고 크라운 씌우는 치료를 해볼 순 있으나 예후는 좋지 않습니다 즉 오래쓰지 못할 가능성이 높고 그럴거면 임플란트 하는게 나을 수도 있습니다

    앞니 옆 치아는 엑스레이상으론 파절양상은 없습니다